Rabbit Monoclonal to MMP1
货号:
P17132
别名:
MMP1;CLG;CLGN; Fibroblast collagenase; Matrix metalloprotease 1;;MMP1
应用:
WB,IHC/IHF,IF,FCM
反应种属:
Human
抗体类型:
Primary antibody
Swissprot:
P03956
规格:
目录价
在线咨询
Description |
|---|
Cleaves collagens of types I, II, and III at one site in the helical domain. Also cleaves collagens of types VII and X. In case of HIV infection, interacts and cleaves the secreted viral Tat protein, leading to a decrease in neuronal Tat's mediated neurotoxicity. |
Specification |
|
|---|---|
| Aliases | MMP1;CLG;CLGN; Fibroblast collagenase; Matrix metalloprotease 1;;MMP1 |
| Swissprot | P03956 |
| WB Predicted band size | 54 kDa |
| Host/Isotype | Rabbit IgG |
| Antibody Type | Primary antibody |
| Storage | Store at 4°C short term. Aliquot and store at -20°C long term. Avoid freeze/thaw cycles. |
| Species Reactivity | Human |
| Immunogen | A synthesized peptide derived from human MMP1 |
| Formulation | Purified antibody in PBS with 0.05% sodium azide,0.05% BSA and 50% glycerol. |
Application |
|
|---|---|
| WB | 1/1000-1/2000 |
| IHC | IHC:1/100-1/200;IHF:1/50-1/200 |
| IF | 1/50-1/200 |
| FCM | 1/20-1/100 |
Product Image
-
Western blot analysis of MMP1 expression in MMP1 recombinant protein.

-
Immunofluorescent analysis using the Antibody at 1:50 dilution.

-
Immunohistochemical analysis of paraffin-embedded Human colon, using the Antibody at 1:100 dilution.

-
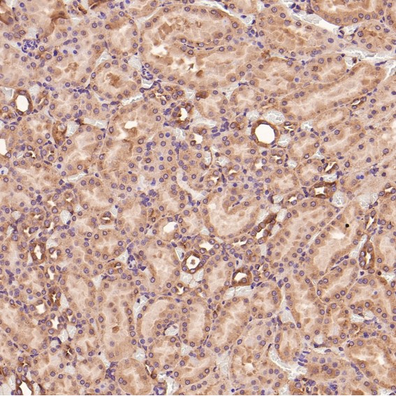
Immunohistochemical analysis of paraffin-embedded Mouse kidney, using the Antibody at 1:100 dilution.

-
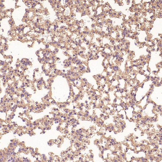
Immunohistochemical analysis of paraffin-embedded Mouse lung, using the Antibody at 1:100 dilution.

-
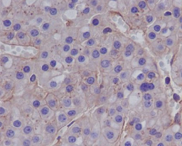
Immunohistochemical analysis of paraffin-embedded human hepatocellar carcinoma, using MMP1 Antibody.

-
Immunohistochemical analysis of paraffin-embedded Rat kidney, using the Antibody at 1:100 dilution.

-
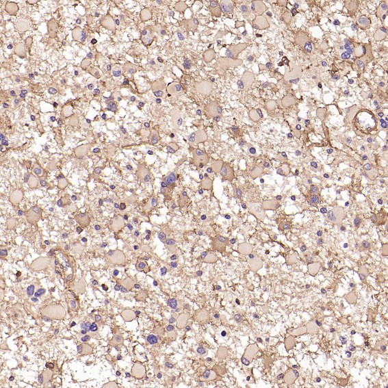
Immunohistochemical analysis of paraffin-embedded Human astrocytoma, using the Antibody at 1:100 dilution.









鄂公网安备42018502007531号

