Rabbit Monoclonal to Phospho-PAK1/2/3(S144+S141+S139)
货号:
P17139
别名:
ADRB2; Alpha-PAK; CDC42/RAC effector kinase PAK-A; EC 2.7.11.1; P65-PAK; P68-PAK; PAK1 (phospho S144); PAK2 (phospho S141); PAK3 (phospho S139); ;p-PAK1/2/3 (S144/S141/S154)
应用:
WB,IHC/IHF,IF,IP,FCM
反应种属:
Human,Mouse,Rat
抗体类型:
Primary antibody
Swissprot:
Q13153/Q13177/O75914
规格:
目录价
在线咨询
Description |
|---|
Serine/threonine protein kinase that plays a role in a variety of different signaling pathways including cytoskeleton regulation, cell migration, or cell cycle regulation. |
Specification |
|
|---|---|
| Aliases | ADRB2; Alpha-PAK; CDC42/RAC effector kinase PAK-A; EC 2.7.11.1; P65-PAK; P68-PAK; PAK1 (phospho S144); PAK2 (phospho S141); PAK3 (phospho S139); ;p-PAK1/2/3 (S144/S141/S154) |
| Swissprot | Q13153/Q13177/O75914 |
| WB Predicted band size | Calculated MW: 58-62 kDa ; Observed MW: 65 kDa |
| Host/Isotype | Rabbit IgG |
| Antibody Type | Primary antibody |
| Storage | Store at 4°C short term. Aliquot and store at -20°C long term. Avoid freeze/thaw cycles. |
| Species Reactivity | Human,Mouse,Rat |
| Immunogen | A synthesized peptide derived from human PAK1 around the phosphorylation site of S144 |
| Formulation | Purified antibody in PBS with 0.05% sodium azide,0.05% BSA and 50% glycerol. |
Application |
|
|---|---|
| WB | 1/1000-1/5000 |
| IP | 1/20-1/50 |
| IHC | IHC:1/100-1/200;IHF:1/50-1/200 |
| IF | 1/50-1/200 |
| FCM | 1/20-1/100 |
Product Image
-
All lanes use the Antibody at 1:3K dilution for 1 hour at room temperature.

-
All lanes use the Antibody at 1:3K dilution for 1 hour at room temperature.

-
All lanes use the Antibody at 1:3K dilution for 1 hour at room temperature.

-
Immunofluorescent analysis using the Antibody at 1:50 dilution.

-
Immunofluorescent analysis using the Antibody at 1:200 dilution.

-
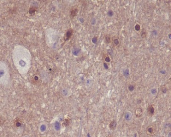
Immunohistochemical analysis of paraffin-embedded mouse brain, using Phospho-PAK1/2/3 (S144/S141/S154) Antibody.







鄂公网安备42018502007531号

