Rabbit Monoclonal to Calreticulin
货号:
P17140
别名:
CALR; CRT; FLJ26680; RO; SSA; cC1Qr; CRP55; CRTC; HACBP;;Calreticulin
应用:
WB,IHC/IHF,IF,IP,FCM
反应种属:
Human,Mouse,Rat
抗体类型:
Primary antibody
Swissprot:
P27797
规格:
目录价
在线咨询
Description |
|---|
Calcium is a universal signaling molecule involved in many cellular functions such as cell motility, metabolism, protein modification, protein folding and apoptosis. Calcium is stored in the endoplasmic reticulum (ER), where it is buffered by calcium binding chaperones such as calnexin and calreticulin, and is released via the IP3 Receptor. |
Specification |
|
|---|---|
| Aliases | CALR; CRT; FLJ26680; RO; SSA; cC1Qr; CRP55; CRTC; HACBP;;Calreticulin |
| Swissprot | P27797 |
| WB Predicted band size | Calculated MW: 48 kDa ; Observed MW: 55 kDa |
| Host/Isotype | Rabbit IgG |
| Antibody Type | Primary antibody |
| Storage | Store at 4°C short term. Aliquot and store at -20°C long term. Avoid freeze/thaw cycles. |
| Species Reactivity | Human,Mouse,Rat |
| Immunogen | A synthesized peptide derived from human Calreticulin |
| Formulation | Purified antibody in PBS with 0.05% sodium azide,0.05% BSA and 50% glycerol. |
Application |
|
|---|---|
| WB | 1/1000-1/2000 |
| IP | 1/20-1/50 |
| IHC | IHC:1/100-1/200;IHF:1/50-1/200 |
| IF | 1/50-1/200 |
| FCM | 1/20-1/100 |
Product Image
-
All lanes use the Antibody at 1:2K dilution for 1 hour at room temperature.

-
All lanes use the Antibody at 1:2K dilution for 1 hour at room temperature.

-
All lanes use the Antibody at 1:2K dilution for 1 hour at room temperature.

-
Immunofluorescent analysis using the Antibody at 1:50 dilution.

-
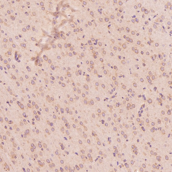
Immunohistochemical analysis of paraffin-embedded Rat cerebral cortex, using the Antibody at 1:150 dilution.

-
Immunohistochemical analysis of paraffin-embedded Human renal cancer, using the Antibody at 1:150 dilution.

-
Immunohistochemical analysis of paraffin-embedded Human placenta, using the Antibody at 1:150 dilution.

-
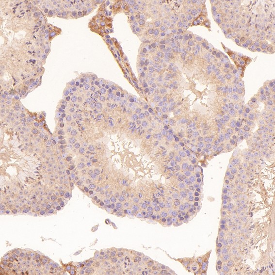
Immunohistochemical analysis of paraffin-embedded Mouse testis, using the Antibody at 1:150 dilution.

-
Immunohistochemical analysis of paraffin-embedded Mouse cerebellum, using the Antibody at 1:150 dilution.










鄂公网安备42018502007531号

