Rabbit Monoclonal to HAPLN1
货号:
P17106
别名:
Hyaluronan and proteoglycan link protein 1; Cartilage-linking protein 1; Cartilage-link protein; Proteoglycan link protein; HAPLN1; CRTL1;HAPLN1
应用:
WB,IHC/IHF,IF,
反应种属:
Human,Mouse,Rat
抗体类型:
Primary antibody
Swissprot:
P10915
规格:
目录价
在线咨询
Description |
|---|
Stabilizes the aggregates of proteoglycan monomers with hyaluronic acid in the extracellular cartilage matrix. |
Specification |
|
|---|---|
| Aliases | Hyaluronan and proteoglycan link protein 1; Cartilage-linking protein 1; Cartilage-link protein; Proteoglycan link protein; HAPLN1; CRTL1;HAPLN1 |
| Swissprot | P10915 |
| WB Predicted band size | Calculated MW: 40 kDa ; Observed MW: 48 kDa |
| Host/Isotype | Rabbit IgG |
| Antibody Type | Primary antibody |
| Storage | Store at 4°C short term. Aliquot and store at -20°C long term. Avoid freeze/thaw cycles. |
| Species Reactivity | Human,Mouse,Rat |
| Immunogen | A synthesized peptide derived from human HAPLN1 |
| Formulation | Purified antibody in PBS with 0.05% sodium azide,0.05% BSA and 50% glycerol. |
Application |
|
|---|---|
| WB | 1/1000-1/2000 |
| IHC | IHC:1/100-1/200;IHF:1/50-1/200 |
| IF | 1/50-1/200 |
Product Image
-
All lanes use the Antibody at 1:1K dilution for 1 hour at room temperature.

-
All lanes use the Antibody at 1:1K dilution for 1 hour at room temperature.

-
All lanes use the Antibody at 1:1K dilution for 1 hour at room temperature.

-
All lanes use the Antibody at 1:1K dilution for 1 hour at room temperature.

-
Western blot analysis of HAPLN1 expression in (1) Caco2 cell lysate; (2) Mouse spleen lysate.

-
Immunohistochemical analysis of paraffin-embedded Rat liver, using the Antibody at 1:100 dilution.

-
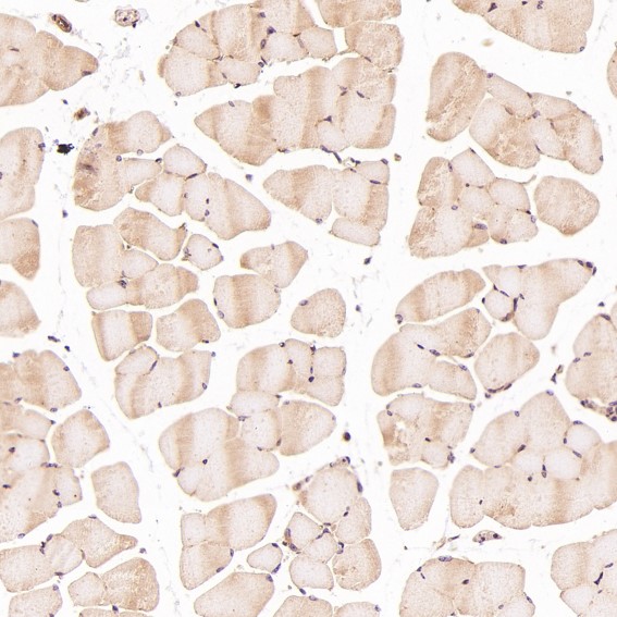
Immunohistochemical analysis of paraffin-embedded Mouse skeletal muscle - gastrocnemius , using the Antibody at 1:100 dilution.

-
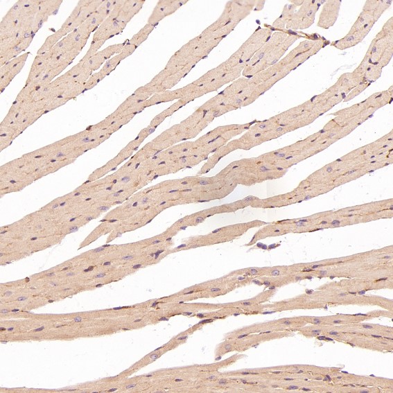
Immunohistochemical analysis of paraffin-embedded Mouse heart, using the Antibody at 1:100 dilution.

-
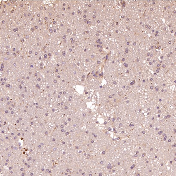
Immunohistochemical analysis of paraffin-embedded Human glioblastoma, using the Antibody at 1:100 dilution.

-
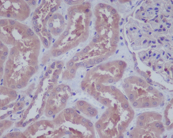
Immunohistochemical analysis of paraffin-embedded human kidney, using HAPLN1 Antibody .










鄂公网安备42018502007531号

