Rabbit Monoclonal to GLUT1
货号:
P17142
别名:
DYT17; DYT18; Glucose transporter type 1, erythrocyte/brain; GLUT; GLUT-1; GLUT1; GTR1; HepG2 glucose transporter;;GLUT1
应用:
WB,IHC/IHF,IF,FCM
反应种属:
Human,Mouse,Rat
抗体类型:
Primary antibody
Swissprot:
P11166
规格:
目录价
在线咨询
Description |
|---|
Facilitative glucose transporter, which is responsible for constitutive or basal glucose uptake. Has a very broad substrate specificity; can transport a wide range of aldoses including both pentoses and hexoses. |
Specification |
|
|---|---|
| Aliases | DYT17; DYT18; Glucose transporter type 1, erythrocyte/brain; GLUT; GLUT-1; GLUT1; GTR1; HepG2 glucose transporter;;GLUT1 |
| Swissprot | P11166 |
| WB Predicted band size | 54 kDa |
| Host/Isotype | Rabbit IgG |
| Antibody Type | Primary antibody |
| Storage | Store at 4°C short term. Aliquot and store at -20°C long term. Avoid freeze/thaw cycles. |
| Species Reactivity | Human,Mouse,Rat |
| Immunogen | A synthesized peptide derived from human GLUT1 |
| Formulation | Purified antibody in PBS with 0.05% sodium azide,0.05% BSA and 50% glycerol. |
Application |
|
|---|---|
| WB | 1/1000-1/2000 |
| IHC | IHC:1/100-1/200;IHF:1/50-1/200 |
| IF | 1/50-1/200 |
| FCM | 1/20-1/100 |
Product Image
-
All lanes use the Antibody at 1:2K dilution for 1 hour at room temperature.

-
Western blot analysis of GLUT1 expression in HepG2 lysate.

-
Immunofluorescent analysis of HepG2 cells, using GLUT1 Antibody .

-
Immunofluorescent analysis using the Antibody at 1:50 dilution.

-
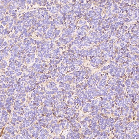
Immunohistochemical analysis of paraffin-embedded Human thymoma, using the Antibody at 1:200 dilution.

-
Immunohistochemical analysis of paraffin-embedded Human colon, using the Antibody at 1:200 dilution.

-
Immunohistochemical analysis of paraffin-embedded Human stomach, using the Antibody at 1:200 dilution.

-
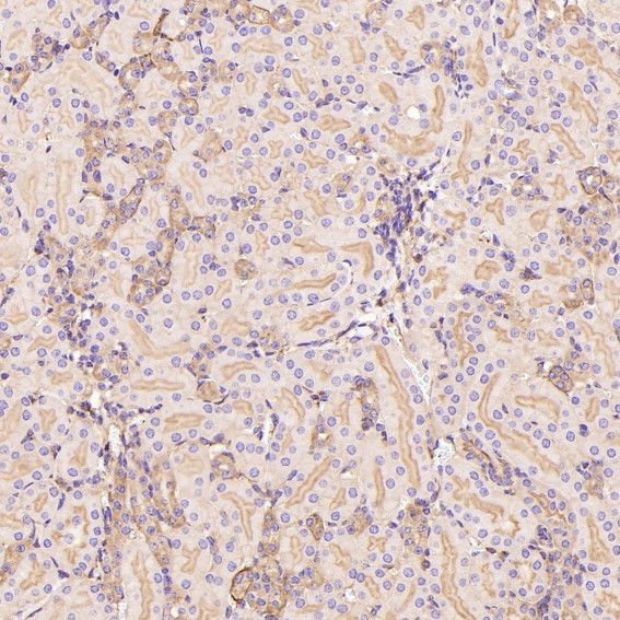
Immunohistochemical analysis of paraffin-embedded Mouse kidney, using the Antibody at 1:200 dilution.

-
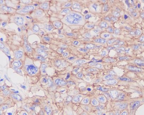
Immunohistochemical analysis of paraffin-embedded human cervix cancer, using GLUT1 Antibody.

-
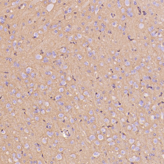
Immunohistochemical analysis of paraffin-embedded Rat hippocampus , using the Antibody at 1:200 dilution.











鄂公网安备42018502007531号

