Rabbit Monoclonal to PKC alpha
货号:
P17143
别名:
EC 2.7.11.13; KPCA; PKC III; PKC-A; PKC-III; PKC-alpha; PRKACA; PRKCA; Protein kinase C; alpha type; kinase PKC-alpha;;PKC alpha
应用:
WB,IHC/IHF,IF,IP,FCM
反应种属:
Human,Mouse,Rat
抗体类型:
Primary antibody
Swissprot:
P17252
规格:
目录价
在线咨询
Description |
|---|
Calcium-activated, phospholipid- and diacylglycerol (DAG)-dependent serine/threonine-protein kinase that is involved in positive and negative regulation of cell proliferation, apoptosis, differentiation, migration and adhesion, tumorigenesis, cardiac hypertrophy, angiogenesis, platelet function and inflammation, by directly phosphorylating targets such as RAF1, BCL2, CSPG4, TNNT2/CTNT, or activating signaling cascade involving MAPK1/3 (ERK1/2) and RAP1GAP. |
Specification |
|
|---|---|
| Aliases | EC 2.7.11.13; KPCA; PKC III; PKC-A; PKC-III; PKC-alpha; PRKACA; PRKCA; Protein kinase C; alpha type; kinase PKC-alpha;;PKC alpha |
| Swissprot | P17252 |
| WB Predicted band size | Calculated MW: 77 kDa ; Observed MW: 75 kDa |
| Host/Isotype | Rabbit IgG |
| Antibody Type | Primary antibody |
| Storage | Store at 4°C short term. Aliquot and store at -20°C long term. Avoid freeze/thaw cycles. |
| Species Reactivity | Human,Mouse,Rat |
| Immunogen | A synthesized peptide derived from human PKC alpha |
| Formulation | Purified antibody in PBS with 0.05% sodium azide,0.05% BSA and 50% glycerol. |
Application |
|
|---|---|
| WB | 1/1000-1/2000 |
| IP | 1/20-1/50 |
| IHC | IHC:1/100-1/200;IHF:1/50-1/200 |
| IF | 1/50-1/200 |
| FCM | 1/20-1/100 |
Product Image
-
All lanes use the Antibody at 1:2K dilution for 1 hour at room temperature.

-
All lanes use the Antibody at 1:1K dilution for 1 hour at room temperature.

-
Western blot analysis of PKC alpha expression in HEK293 cell lysate.

-
Immunofluorescent analysis of Hela cells, using PKC alpha Antibody .

-
Immunofluorescent analysis using the Antibody at 1:50 dilution.

-
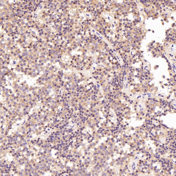
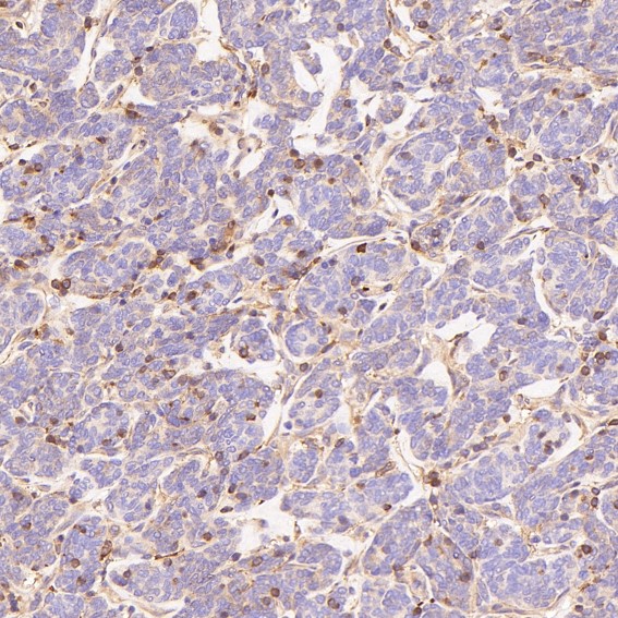
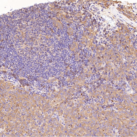
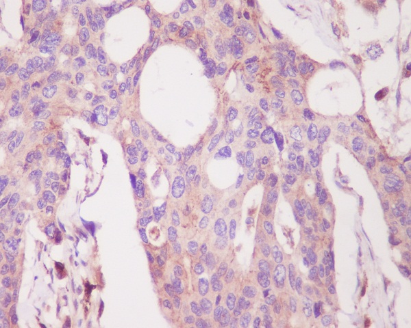
Immunohistochemical analysis of paraffin-embedded Human pituitary tumor, using the Antibody at 1:100 dilution.

-
Immunohistochemical analysis of paraffin-embedded Human thymoma, using the Antibody at 1:200 dilution.

-
Immunohistochemical analysis of paraffin-embedded Human melanoma, using the Antibody at 100 dilution.

-
Immunohistochemical analysis of paraffin-embedded human colon, using PKC alpha Antibody.










鄂公网安备42018502007531号

