Rabbit Monoclonal to pan Cadherin
货号:
P17116
别名:
Cadherin;CDH3;CDHP;Cadherin-1;Cadherin-2;Cadherin-3;Cadherin-4;Cadherin-5;CAM 120/80;CD144;CD324;CD325;Cdh4;CDH5;CDHE;CDHN;E-cadherin;N-cadherin;NCAD;Neural cadherin;P-cadherin;Uvomorulin;Vascular endothelial cadherin
;Cadherin
应用:
WB,IHC/IHF,IF,IP,FCM
反应种属:
Human,Mouse,Rat
抗体类型:
Primary antibody
Swissprot:
P12830/P19022/P22223/P33151/P55283/P39038
规格:
目录价
在线咨询
Description |
|---|
Cadherins are calcium-dependent cell adhesion proteins. They preferentially interact with themselves in a homophilic manner in connecting cells; cadherins may thus contribute to the sorting of heterogeneous cell types. CDH1 is involved in mechanisms regulating cell-cell adhesions, mobility and proliferation of epithelial cells. |
Specification |
|
|---|---|
| Aliases | Cadherin;CDH3;CDHP;Cadherin-1;Cadherin-2;Cadherin-3;Cadherin-4;Cadherin-5;CAM 120/80;CD144;CD324;CD325;Cdh4;CDH5;CDHE;CDHN;E-cadherin;N-cadherin;NCAD;Neural cadherin;P-cadherin;Uvomorulin;Vascular endothelial cadherin ;Cadherin |
| Swissprot | P12830/P19022/P22223/P33151/P55283/P39038 |
| WB Predicted band size | Calculated MW: 15-20,80-83 kDa ; Observed MW: 140 kDa |
| Host/Isotype | Rabbit IgG |
| Antibody Type | Primary antibody |
| Storage | Store at 4°C short term. Aliquot and store at -20°C long term. Avoid freeze/thaw cycles. |
| Species Reactivity | Human,Mouse,Rat |
| Immunogen | A synthesized peptide derived from human Cadherin |
| Formulation | Purified antibody in PBS with 0.05% sodium azide,0.05% BSA and 50% glycerol. |
Application |
|
|---|---|
| WB | 1/1000-1/2000 |
| IP | 1/20-1/50 |
| IHC | IHC:1/100-1/200;IHF:1/50-1/200 |
| IF | 1/50-1/200 |
| FCM | 1/20-1/100 |
Product Image
-
All lanes use the Antibody at 1:2K dilution for 1 hour at room temperature.

-
All lanes use the Antibody at 1:2K dilution for 1 hour at room temperature.

-
Western blot analysis of pan Cadherin expression in C6 cell lysate.

-
Immunofluorescent analysis using the Antibody at 1:50 dilution.

-
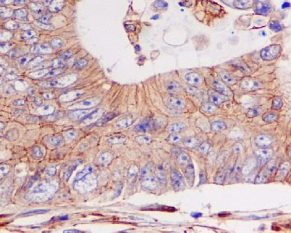
Immunohistochemical analysis of paraffin-embedded colon cancer, using pan Cadherin Antibody .






鄂公网安备42018502007531号

