Rabbit Monoclonal to CD86
货号:
P17099
别名:
CD86;B7-2;B70;CD28LG2;LAB72;MGC34413; CTLA4 counter receptor B72; CLS1; Ly58; MB7;;CD86
应用:
WB,IHC/IHF,IF,IP,FCM
反应种属:
Human,Mouse,Rat
抗体类型:
Primary antibody
Swissprot:
P42081
规格:
目录价
在线咨询
Description |
|---|
Receptor involved in the costimulatory signal essential for T-lymphocyte proliferation and interleukin-2 production, by binding CD28 or CTLA-4. May play a critical role in the early events of T-cell activation and costimulation of naive T-cells, such as deciding between immunity and anergy that is made by T-cells within 24 hours after activation.Also involved in the regulation of B cells function, plays a role in regulating the level of IgG1 produced. Upon CD40 engagement, activates NF-kappa-B signaling pathway via phospholipase C and protein kinase C activation. |
Specification |
|
|---|---|
| Aliases | CD86;B7-2;B70;CD28LG2;LAB72;MGC34413; CTLA4 counter receptor B72; CLS1; Ly58; MB7;;CD86 |
| Swissprot | P42081 |
| WB Predicted band size | Calculated MW: 38 kDa ; Observed MW: 70 kDa |
| Host/Isotype | Rabbit IgG |
| Antibody Type | Primary antibody |
| Storage | Store at 4°C short term. Aliquot and store at -20°C long term. Avoid freeze/thaw cycles. |
| Species Reactivity | Human,Mouse,Rat |
| Immunogen | A synthesized peptide derived from human CD86 |
| Formulation | Purified antibody in PBS with 0.05% sodium azide,0.05% BSA and 50% glycerol. |
Application |
|
|---|---|
| WB | 1/1000-1/2000 |
| IP | 1/20-1/50 |
| IHC | IHC:1/100-1/200;IHF:1/50-1/200 |
| IF | 1/50-1/200 |
| FCM | 1/20-1/100 |
Product Image
-
All lanes use the Antibody at 1:2K dilution for 1 hour at room temperature.

-
All lanes use the Antibody at 1:2K dilution for 1 hour at room temperature.

-
Western blot analysis of CD86 expression in Raji cell lysate.

-
Immunofluorescent analysis using the Antibody at 1:50 dilution.

-
Immunofluorescent analysis using the Antibody at 1:50 dilution.

-
Immunofluorescent analysis using the Antibody at 1:150 dilution.

-
Immunofluorescent analysis of K562 cells, using CD86 Antibody .

-
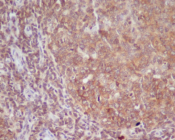
Immunohistochemical analysis of paraffin-embedded human tonsil, using CD86 Antibody .









鄂公网安备42018502007531号

