Rabbit Monoclonal to TRAF6
货号:
P17080
别名:
TNF receptor-associated factor 6; E3 ubiquitin-protein ligase TRAF6; Interleukin-1 signal transducer; RING finger protein 85; TRAF6; RNF85; TRAF 6; TRAF-6;;TRAF6
应用:
WB;IHC;FCM
反应种属:
Human,Mouse,Rat
抗体类型:
Primary antibody
Swissprot:
Q9Y4K3
规格:
目录价
在线咨询
Description |
|---|
E3 ubiquitin ligase that, together with UBE2N and UBE2V1, mediates the synthesis of 'Lys-63'-linked-polyubiquitin chains conjugated to proteins, such as ECSIT, IKBKG, IRAK1, AKT1 and AKT2.Also mediates ubiquitination of free/unanchored polyubiquitin chain that leads to MAP3K7 activation. |
Specification |
|
|---|---|
| Aliases | TNF receptor-associated factor 6; E3 ubiquitin-protein ligase TRAF6; Interleukin-1 signal transducer; RING finger protein 85; TRAF6; RNF85; TRAF 6; TRAF-6;;TRAF6 |
| Swissprot | Q9Y4K3 |
| WB Predicted band size | Calculated MW: 60 kDa ; Observed MW: 58 kDa |
| Host/Isotype | Rabbit IgG |
| Antibody Type | Primary antibody |
| Storage | Store at 4°C short term. Aliquot and store at -20°C long term. Avoid freeze/thaw cycles. |
| Species Reactivity | Human,Mouse,Rat |
| Immunogen | A synthesized peptide derived from human TRAF6 |
| Formulation | Purified antibody in PBS with 0.05% sodium azide,0.05% BSA and 50% glycerol. |
Application |
|
|---|---|
| WB | 1/1000-1/2000 |
| IHC | 1/100-1/200 |
| FCM | 1/20-1/100 |
Product Image
-
All lanes use the Antibody at 1:2K dilution for 1 hour at room temperature.

-
All lanes use the Antibody at 1:2K dilution for 1 hour at room temperature.

-
All lanes use the Antibody at 1:2K dilution for 1 hour at room temperature.

-
Immunohistochemical analysis of paraffin-embedded Rat ovary, using the Antibody at 1:100 dilution.

-
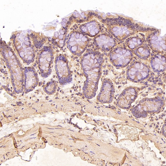
Immunohistochemical analysis of paraffin-embedded Rat stomach, using the Antibody at 1:100 dilution.

-
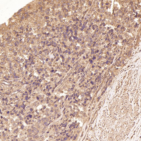
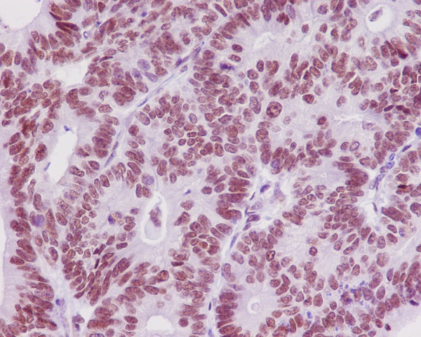
Immunohistochemical analysis of paraffin-embedded Human prostate cancer, using the Antibody at 1:100 dilution.

-
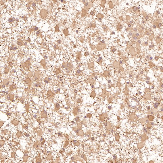
Immunohistochemical analysis of paraffin-embedded Human astrocytoma, using the Antibody at 1:100 dilution.

-
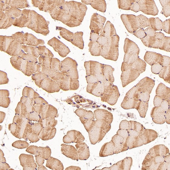
Immunohistochemical analysis of paraffin-embedded Mouse skeletal muscle - gastrocnemius , using the Antibody at 1:100 dilution.

-
Immunohistochemical analysis of paraffin-embedded human colon carcinoma, using TRAF6 Antibody.










鄂公网安备42018502007531号

