Rabbit Monoclonal to GM130
货号:
P17062
别名:
GM130; Gm130 autoantigen; GOLGA 2; Golga2; Golgi autoantigen; Golgin 95;;Golgin subfamily A member 2
应用:
WB,IHC/IHF,IF,IP
反应种属:
Human,Mouse,Rat,Monkey,Cow,Dog
抗体类型:
Primary antibody
Swissprot:
Q08379
规格:
目录价
在线咨询
Description |
|---|
Golgi auto-antigen; probably involved in maintaining cis-Golgi structure. The Golgi apparatus, which participates in glycosylation and transport of proteins and lipids in the secretory pathway, consists of a series of stacked cisternae (flattened membrane sacs). Interactions between the Golgi and microtubules are thought to be important for the reorganization of the Golgi after it fragments during mitosis. This gene encodes one of the golgins, a family of proteins localized to the Golgi. |
Specification |
|
|---|---|
| Aliases | GM130; Gm130 autoantigen; GOLGA 2; Golga2; Golgi autoantigen; Golgin 95;;Golgin subfamily A member 2 |
| Swissprot | Q08379 |
| WB Predicted band size | Calculated MW: 113 kDa ; Observed MW: 130 kDa |
| Host/Isotype | Rabbit IgG |
| Antibody Type | Primary antibody |
| Storage | Store at 4°C short term. Aliquot and store at -20°C long term. Avoid freeze/thaw cycles. |
| Species Reactivity | Human,Mouse,Rat,Monkey,Cow,Dog |
| Immunogen | A synthesized peptide derived from human Golgin subfamily A member 2 |
| Formulation | Purified antibody in PBS with 0.05% sodium azide,0.05% BSA and 50% glycerol. |
Application |
|
|---|---|
| WB | 1/1000-1/2000 |
| IP | 1/20-1/50 |
| IHC | IHC:1/100-1/200;IHF:1/50-1/200 |
| IF | 1/50-1/200 |
Product Image
-
All lanes use the Antibody at 1:2K dilution for 1 hour at room temperature.

-
All lanes use the Antibody at 1:2K dilution for 1 hour at room temperature.

-
All lanes use the Antibody at 1:1K dilution for 1 hour at room temperature.

-
Immunofluorescent analysis using the Antibody at 1:200 dilution.

-
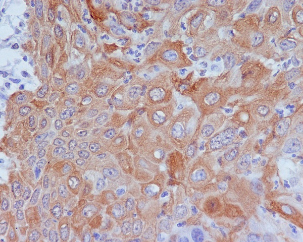
Immunohistochemical analysis of paraffin-embedded human cervix carcinoma, using GM130 Antibody.






鄂公网安备42018502007531号

