Rabbit Monoclonal to SATB2
货号:
P17049
别名:
GLSS; SATB family member 2; SATB homeobox 2; SATB2;Special AT rich sequence binding protein 2;;SATB2
应用:
WB,IHC/IHF,IF,
反应种属:
Human,Mouse,Rat
抗体类型:
Primary antibody
Swissprot:
Q3ZB87
规格:
目录价
在线咨询
Description |
|---|
Binds to DNA, at nuclear matrix- or scaffold-associated regions. Thought to recognize the sugar-phosphate structure of double-stranded DNA. Transcription factor controlling nuclear gene expression, by binding to matrix attachment regions (MARs) of DNA and inducing a local chromatin-loop remodeling. Acts as a docking site for several chromatin remodeling enzymes and also by recruiting corepressors (HDACs) or coactivators (HATs) directly to promoters and enhancers. |
Specification |
|
|---|---|
| Aliases | GLSS; SATB family member 2; SATB homeobox 2; SATB2;Special AT rich sequence binding protein 2;;SATB2 |
| Swissprot | Q3ZB87 |
| WB Predicted band size | Calculated MW: 83 kDa ; Observed MW: 81 kDa |
| Host/Isotype | Rabbit IgG |
| Antibody Type | Primary antibody |
| Storage | Store at 4°C short term. Aliquot and store at -20°C long term. Avoid freeze/thaw cycles. |
| Species Reactivity | Human,Mouse,Rat |
| Immunogen | A synthesized peptide derived from human SATB2 |
| Formulation | Purified antibody in PBS with 0.05% sodium azide,0.05% BSA and 50% glycerol. |
Application |
|
|---|---|
| WB | 1/1000-1/2000 |
| IHC | IHC:1/100-1/200;IHF:1/50-1/200 |
| IF | 1/50-1/200 |
Product Image
-
All lanes use the Antibody at 1:2K dilution for 1 hour at room temperature.

-
Western blot analysis of SATB2 expression in Saos-2 cell lysate.

-
Immunofluorescent analysis of SH-SY5Y cells, using SATB2 Antibody .

-
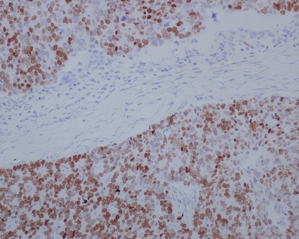
Immunohistochemical analysis of paraffin-embedded Human cervical cancer, using the Antibody at 1:100 dilution.

-
Immunohistochemical analysis of paraffin-embedded human stomach cancer, using SATB2 Antibody.

-
Immunohistochemical analysis of paraffin-embedded Human testis cancer, using the Antibody at 1:100 dilution.







鄂公网安备42018502007531号

