Rabbit Monoclonal to FOXO3A
货号:
P17039
别名:
Forkhead box protein O3; AF6q21 protein; Forkhead in rhabdomyosarcoma-like 1; FOXO3; FKHRL1; FOXO3A;FOXO3A
应用:
WB,IHC/IHF,IF,
反应种属:
Human
抗体类型:
Primary antibody
Swissprot:
O43524
规格:
目录价
在线咨询
Description |
|---|
Transcriptional activator that recognizes and binds to the DNA sequence 5'-[AG]TAAA[TC]A-3' and regulates different processes, such as apoptosis and autophag.Acts as a positive regulator of autophagy in skeletal muscle: in starved cells, enters the nucleus following dephosphorylation and binds the promoters of autophagy genes, such as GABARAP1L, MAP1LC3B and ATG12, thereby activating their expression, resulting in proteolysis of skeletal muscle proteins.Triggers apoptosis in the absence of survival factors, including neuronal cell death upon oxidative stress. Participates in post-transcriptional regulation of MYC: following phosphorylation by MAPKAPK5, promotes induction of miR-34b and miR-34c expression, 2 post-transcriptional regulators of MYC that bind to the 3'UTR of MYC transcript and prevent its translation (PubMed:21329882). In response to metabolic stress, translocates into the mitochondria where it promotes mtDNA transcription (PubMed:23283301). In response to metabolic stress, translocates into the mitochondria where it promotes mtDNA transcription. Also acts as a key regulator of chondrogenic commitment of skeletal progenitor cells in response to lipid availability: when lipids levels are low, translocates to the nucleus and promotes expression of SOX9, which induces chondrogenic commitment and suppresses fatty acid oxidation (By similarity). Also acts as a key regulator of regulatory T-cells (Treg) differentiation by activating expression of FOXP3 (PubMed:30513302). |
Specification |
|
|---|---|
| Aliases | Forkhead box protein O3; AF6q21 protein; Forkhead in rhabdomyosarcoma-like 1; FOXO3; FKHRL1; FOXO3A;FOXO3A |
| Swissprot | O43524 |
| WB Predicted band size | Calculated MW: 71 kDa ; Observed MW: 90 kDa |
| Host/Isotype | Rabbit IgG |
| Antibody Type | Primary antibody |
| Storage | Store at 4°C short term. Aliquot and store at -20°C long term. Avoid freeze/thaw cycles. |
| Species Reactivity | Human |
| Immunogen | A synthesized peptide derived from human FOXO3A |
| Formulation | Purified antibody in PBS with 0.05% sodium azide,0.05% BSA and 50% glycerol. |
Application |
|
|---|---|
| WB | 1/1000-1/2000 |
| IHC | IHC:1/100-1/200;IHF:1/50-1/200 |
| IF | 1/50-1/200 |
Product Image
-
All lanes use the Antibody at 1:1K dilution for 1 hour at room temperature.

-
Western blot analysis of FoxO3a in (1) Jurkat cell lysate; (2) SH-SY5Y cell lysate.

-
LncRNA AK023391 promotes tumorigenesis and invasion of gastric cancer through activation of the PI3K/Akt signaling pathway. -Journal of Experimental & Clinical Cancer Research

-
Immunofluorescent analysis of Hela cells, using FoxO3a Antibody .

-
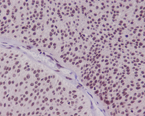
Immunohistochemical analysis of paraffin-embedded human bladder carcinoma, using FoxO3a Antibody.






鄂公网安备42018502007531号

