Rabbit Monoclonal to HMGB1
货号:
P17030
别名:
HMGB1; HMG3; HMG1; SBP 1; Amphoterin;;HMGB1
应用:
WB,IHC/IHF,IF,FCM
反应种属:
Human,Mouse,Rat
抗体类型:
Primary antibody
Swissprot:
P09429
规格:
目录价
在线咨询
Description |
|---|
Multifunctional redox sensitive protein with various roles in different cellular compartments. In the nucleus is one of the major chromatin-associated non-histone proteins and acts as a DNA chaperone involved in replication, transcription, chromatin remodeling, V(D)J recombination, DNA repair and genome stability. |
Specification |
|
|---|---|
| Aliases | HMGB1; HMG3; HMG1; SBP 1; Amphoterin;;HMGB1 |
| Swissprot | P09429 |
| WB Predicted band size | 25 kDa |
| Host/Isotype | Rabbit IgG |
| Antibody Type | Primary antibody |
| Storage | Store at 4°C short term. Aliquot and store at -20°C long term. Avoid freeze/thaw cycles. |
| Species Reactivity | Human,Mouse,Rat |
| Immunogen | A synthesized peptide derived from human HMGB1 |
| Formulation | Purified antibody in PBS with 0.05% sodium azide,0.05% BSA and 50% glycerol. |
Application |
|
|---|---|
| WB | 1/1000-1/2000 |
| IHC | IHC:1/100-1/200;IHF:1/50-1/200 |
| IF | 1/50-1/200 |
| FCM | 1/20-1/100 |
Product Image
-
All lanes use the Antibody at 1:2K dilution for 1 hour at room temperature.

-
All lanes use the Antibody at 1:2K dilution for 1 hour at room temperature.

-
All lanes use the Antibody at 1:2K dilution for 1 hour at room temperature.

-
All lanes use the Antibody at 1:2K dilution for 1 hour at room temperature.

-
All lanes use the Antibody at 1:2K dilution for 1 hour at room temperature.

-
Western blot analysis of HMGB1 expression in (1)HeLa cell lysate; (2)Rat brain lysate.

-
Immunohistochemical analysis of paraffin-embedded Rat liver, using the Antibody at 1:200 dilution.

-
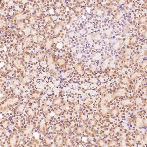
Immunohistochemical analysis of paraffin-embedded Rat kidney, using the Antibody at 1:200 dilution.

-
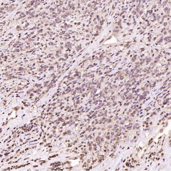
Immunohistochemical analysis of paraffin-embedded Human non-Hodgkin's lymphoma, using the Antibody at 1:100 dilution.










鄂公网安备42018502007531号

