Rabbit Monoclonal to PTBP2
货号:
P17034
别名:
brPTB; MIBP; nPTB; Polypyrimidine tract binding protein 2; PTB like protein; PTBP 2Ptbp2; Splicing regulator;;PTBP2
应用:
WB,IHC/IHF,IF,
反应种属:
Human,Mouse,Rat
抗体类型:
Primary antibody
Swissprot:
Q9UKA9
规格:
目录价
在线咨询
Description |
|---|
RNA-binding protein which binds to intronic polypyrimidine tracts and mediates negative regulation of exons splicing. May antagonize in a tissue-specific manner the ability of NOVA1 to activate exon selection. In addition to its function in pre-mRNA splicing, plays also a role in the regulation of translation. |
Specification |
|
|---|---|
| Aliases | brPTB; MIBP; nPTB; Polypyrimidine tract binding protein 2; PTB like protein; PTBP 2Ptbp2; Splicing regulator;;PTBP2 |
| Swissprot | Q9UKA9 |
| WB Predicted band size | 57 kDa |
| Host/Isotype | Rabbit IgG |
| Antibody Type | Primary antibody |
| Storage | Store at 4°C short term. Aliquot and store at -20°C long term. Avoid freeze/thaw cycles. |
| Species Reactivity | Human,Mouse,Rat |
| Immunogen | A synthesized peptide derived from human PTBP2 |
| Formulation | Purified antibody in PBS with 0.05% sodium azide,0.05% BSA and 50% glycerol. |
Application |
|
|---|---|
| WB | 1/1000-1/2000 |
| IHC | IHC:1/100-1/200;IHF:1/50-1/200 |
| IF | 1/50-1/200 |
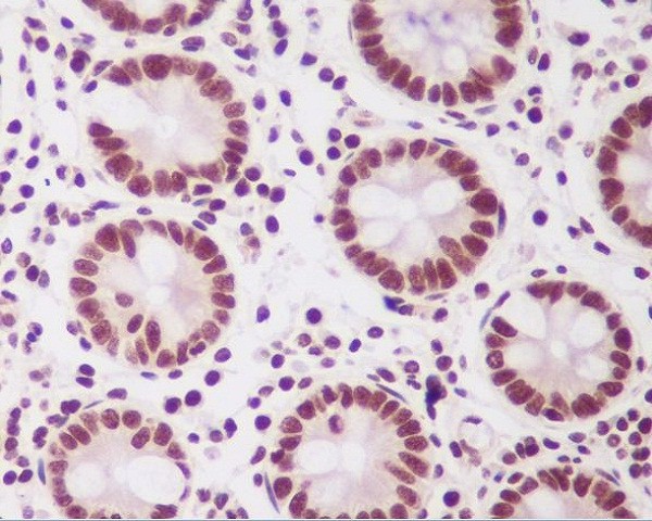
Product Image
-
All lanes use the Antibody at 1:2K dilution for 1 hour at room temperature.

-
All lanes use the Antibody at 1:2K dilution for 1 hour at room temperature.

-
Western blot analysis of PTBP2 in (1) Neuro-2a cell lysate; (2) HeLa cell lysate.

-
Immunofluorescent analysis using the Antibody at 1:150 dilution.

-
Immunohistochemical analysis of paraffin-embedded human colon, using PTBP2 Antibody.






鄂公网安备42018502007531号

