Rabbit Monoclonal to Caveolin-1
货号:
P17018
别名:
BSCL3; CGL3; caveolin 1, caveolae protein, 22kDa; Caveolin-1; VIP21; CAV; CAV1.;Caveolin 1
应用:
WB,IHC/IHF,IF,FCM
反应种属:
Human,Mouse,Rat
抗体类型:
Primary antibody
Swissprot:
Q03135
规格:
目录价
在线咨询
Description |
|---|
May act as a scaffolding protein within caveolar membranes. Interacts directly with G-protein alpha subunits and can functionally regulate their activity. |
Specification |
|
|---|---|
| Aliases | BSCL3; CGL3; caveolin 1, caveolae protein, 22kDa; Caveolin-1; VIP21; CAV; CAV1.;Caveolin 1 |
| Swissprot | Q03135 |
| WB Predicted band size | 20 kDa |
| Host/Isotype | Rabbit IgG |
| Antibody Type | Primary antibody |
| Storage | Store at 4°C short term. Aliquot and store at -20°C long term. Avoid freeze/thaw cycles. |
| Species Reactivity | Human,Mouse,Rat |
| Immunogen | A synthesized peptide derived from human Caveolin 1 |
| Formulation | Purified antibody in PBS with 0.05% sodium azide,0.05% BSA and 50% glycerol. |
Application |
|
|---|---|
| WB | 1/1000-1/2000 |
| IHC | IHC:1/100-1/200;IHF:1/50-1/200 |
| IF | 1/50-1/200 |
| FCM | 1/20-1/100 |
Product Image
-
All lanes use the Antibody at 1:2K dilution for 1 hour at room temperature.

-
All lanes use the Antibody at 1:2K dilution for 1 hour at room temperature.

-
Western blot analysis of Caveolin-1 expression in A431 cell lysate.

-
Immunofluorescent analysis of A431 cells, using Caveolin-1 Antibody .

-
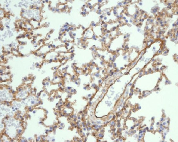
Immunohistochemical analysis of paraffin-embedded mouse lung, using Caveolin-1 Antibody.






鄂公网安备42018502007531号

