Rabbit Monoclonal to Lamin B1
货号:
P17003
别名:
LMN; ADLD; LMN2; LMNB; Lamin B1;;Lamin B1
应用:
WB,IHC/IHF,IF,IP
反应种属:
Human,Mouse,Rat
抗体类型:
Primary antibody
Swissprot:
P20700
规格:
目录价
在线咨询
Description |
|---|
Lamins are intermediate filament proteins that assemble into a filamentous meshwork, and which constitute the major components of the nuclear lamina, a fibrous layer on the nucleoplasmic side of the inner nuclear membrane. |
Specification |
|
|---|---|
| Aliases | LMN; ADLD; LMN2; LMNB; Lamin B1;;Lamin B1 |
| Swissprot | P20700 |
| WB Predicted band size | Calculated MW: 66 kDa ; Observed MW: 70 kDa |
| Host/Isotype | Rabbit IgG |
| Antibody Type | Primary antibody |
| Storage | Store at 4°C short term. Aliquot and store at -20°C long term. Avoid freeze/thaw cycles. |
| Species Reactivity | Human,Mouse,Rat |
| Immunogen | A synthesized peptide derived from human Lamin B1 |
| Formulation | Purified antibody in PBS with 0.05% sodium azide,0.05% BSA and 50% glycerol. |
Application |
|
|---|---|
| WB | 1/5000-1/10000 |
| IP | 1/50-1/100 |
| IHC | 1/100-1/500 |
| IF | 1/100-1/500 |
Product Image
-
All lanes use AB0054 Lamin B1 Antibody at 1:10000 dilution for 1 hour at room temperature.

-
All lanes use AB0054 Lamin B1 Antibody at 1:10000 dilution for 1 hour at room temperature.

-
All lanes use AB0054 Lamin B1 Antibody at 1:10000 dilution for 1 hour at room temperature.

-
Immunofluorescent analysis of HepG2 cells, using Lamin B1 Antibody.

-
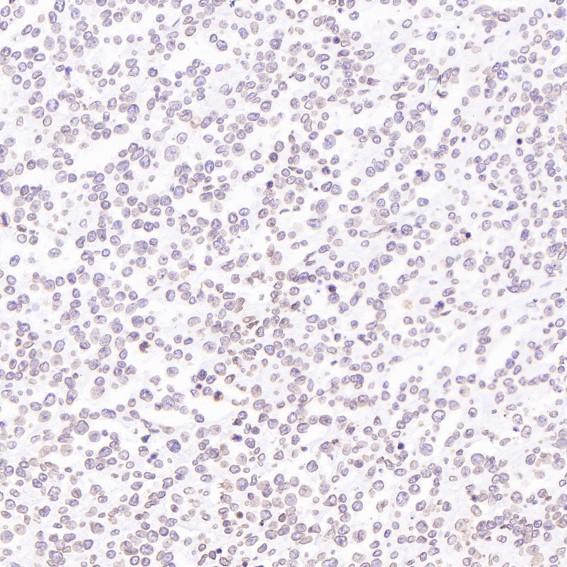
Immunohistochemical analysis of paraffin-embedded Human non-Hodgkin's lymphoma, using the Antibody at 1:100 dilution.

-
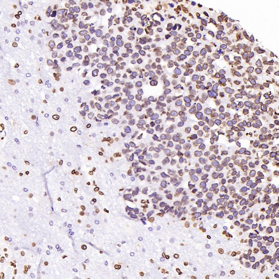
Immunohistochemical analysis of paraffin-embedded Human glioblastoma, using the Antibody at 1:100 dilution.

-
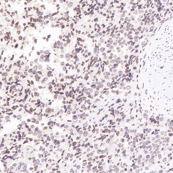
Immunohistochemical analysis of paraffin-embedded Human prostate cancer, using the Antibody at 1:100 dilution.

-
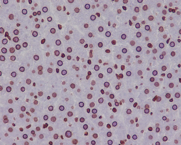
Immunohistochemical analysis of paraffin-embedded rat liver, using Lamin B1 Antibody.









鄂公网安备42018502007531号

