Rabbit Monoclonal to Bcl-XL
货号:
P17024
别名:
Apoptosis regulator Bcl-X; BLC2L; Bcl-2-like 1 protein bclxl; BCL2L; BCL2L1; BCLX;;Bcl 2 L1
应用:
WB,IHC/IHF,IF,IP,FCM
反应种属:
Human,Mouse,Rat
抗体类型:
Primary antibody
Swissprot:
Q07817
规格:
目录价
在线咨询
Description |
|---|
Potent inhibitor of cell death. Inhibits activation of caspases. Appears to regulate cell death by blocking the voltage-dependent anion channel (VDAC) by binding to it and preventing the release of the caspase activator, CYC1, from the mitochondrial membrane. Also acts as a regulator of G2 checkpoint and progression to cytokinesis during mitosis. |
Specification |
|
|---|---|
| Aliases | Apoptosis regulator Bcl-X; BLC2L; Bcl-2-like 1 protein bclxl; BCL2L; BCL2L1; BCLX;;Bcl 2 L1 |
| Swissprot | Q07817 |
| WB Predicted band size | 26 kDa |
| Host/Isotype | Rabbit IgG |
| Antibody Type | Primary antibody |
| Storage | Store at 4°C short term. Aliquot and store at -20°C long term. Avoid freeze/thaw cycles. |
| Species Reactivity | Human,Mouse,Rat |
| Immunogen | A synthesized peptide derived from human Bcl 2 L1 |
| Formulation | Purified antibody in PBS with 0.05% sodium azide,0.05% BSA and 50% glycerol. |
Application |
|
|---|---|
| WB | 1/1000-1/2000 |
| IP | 1/20-1/50 |
| IHC | IHC:1/100-1/200;IHF:1/50-1/200 |
| IF | 1/50-1/200 |
| FCM | 1/20-1/100 |
Product Image
-
All lanes use the Antibody at 1:2K dilution for 1 hour at room temperature.

-
All lanes use the Antibody at 1:2K dilution for 1 hour at room temperature.

-
All lanes use the Antibody at 1:1K dilution for 1 hour at room temperature.

-
Immunofluorescent analysis of Hela cells, using Bcl-XL Antibody .

-
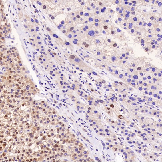
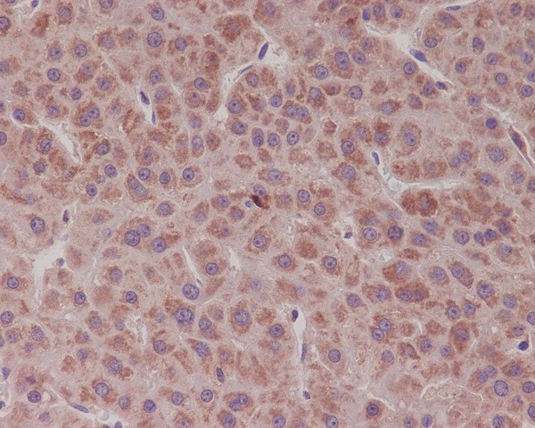
Immunohistochemical analysis of paraffin-embedded Human liver cancer, using the Antibody at 1:200 dilution.

-
Immunohistochemical analysis of paraffin-embedded human liver cancer, using Bcl-XL Antibody.







鄂公网安备42018502007531号

