Rabbit Monoclonal to ECadherin
货号:
P17006
别名:
Arc1;Cadherin 1;CAM 120/80;CD324;CDHE;E-Cad/CTF3;ECAD;Epithelial cadherin ;LCAM;Uvomorulin;CDH1;;E Cadherin
应用:
WB,IHC/IHF,IF,FCM
反应种属:
Human
抗体类型:
Primary antibody
Swissprot:
Q15582
规格:
目录价
在线咨询
Description |
|---|
Cadherins are calcium-dependent cell adhesion proteins. They preferentially interact with themselves in a homophilic manner in connecting cells; cadherins may thus contribute to the sorting of heterogeneous cell types. CDH1 is involved in mechanisms regulating cell-cell adhesions, mobility and proliferation of epithelial cells. |
Specification |
|
|---|---|
| Aliases | Arc1;Cadherin 1;CAM 120/80;CD324;CDHE;E-Cad/CTF3;ECAD;Epithelial cadherin ;LCAM;Uvomorulin;CDH1;;E Cadherin |
| Swissprot | Q15582 |
| WB Predicted band size | Calculated MW: 97 kDa ; Observed MW: 135 kDa |
| Host/Isotype | Rabbit IgG |
| Antibody Type | Primary antibody |
| Storage | Store at 4°C short term. Aliquot and store at -20°C long term. Avoid freeze/thaw cycles. |
| Species Reactivity | Human |
| Immunogen | A synthesized peptide derived from human E Cadherin |
| Formulation | Purified antibody in PBS with 0.05% sodium azide,0.05% BSA and 50% glycerol. |
Application |
|
|---|---|
| WB | 1/1000-1/5000 |
| IHC | IHC:1/100-1/200;IHF:1/50-1/200 |
| IF | 1/50-1/200 |
| FCM | 1/20-1/100 |
Product Image
-
All lanes use the Antibody at 1:5K dilution for 1 hour at room temperature.

-
Western blot analysis of E-cadherin expression in MCF7 cell lysate.

-
SLC25A22 promotes proliferation and metastasis by activating MAPK/ERK pathway in gallbladder cancer. -Cancer Cell International

-
Immunofluorescent analysis using the Antibody (green) at 1:50 dilution, Red:Phalloidin-T ; Blue:DAPI

-
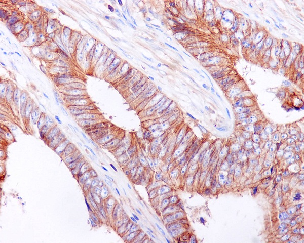
Immunohistochemical analysis of paraffin-embedded human colon cancer, using E Cadherin Antibody.






鄂公网安备42018502007531号

