Mouse Monoclonal Antibody to ZXDC
货号:
P15636
别名:
应用:
IHC
反应种属:
Human
抗体类型:
Primary antibody
Swissprot:
Q2QGD7
规格:
目录价
在线咨询
Specification |
|
|---|---|
| Swissprot | Q2QGD7 |
| Host/Isotype | Mouse IgG2a |
| Antibody Type | Primary antibody |
| Storage | Store at 4°C short term. Aliquot and store at -20°C long term. Avoid freeze/thaw cycles. |
| Species Reactivity | Human |
| Immunogen | Purified recombinant fragment of human ZXDC |
| Formulation | Purified antibody in PBS with 0.05% sodium azide |
Application |
|
|---|---|
| IHC | 1/500 |
Product Image
-
IHC-P analysis of cervical cancer tissue by ZXDC antibody (P15636) IHC-P was performed using sections of the formalin-fixed paraffin-embedded cervical cancer tissue;Result: Tumor cells are positively stained at the nuclei.

-
IHC-P analysis of liver tissue by ZXDC antibody (P15636) IHC-P was performed using sections of the formalin-fixed paraffin-embedded liver tissue;Result: Hepatocytes are positively stained at the nuclei.

-
IHC-P analysis of testis tissue by ZXDC antibody (P15636) IHC-P was performed using sections of the formalin-fixed paraffin-embedded testis tissue;Result: Cells in seminiferous ducts are positively stained at the nuclei.

-
IHC-P analysis of colon cancer tissue by ZXDC antibody (P15636) IHC-P was performed using sections of the formalin-fixed paraffin-embedded colon cancer tissue;Result: Tumor cells are positively stained at the nuclei.

-
IHC-P analysis of lymph node tissue by ZXDC antibody (P15636) IHC-P was performed using sections of the formalin-fixed paraffin-embedded lymph node tissue;Result: Lymphocytes are positively stained at the nuclei.

-
IHC-P analysis of spleen by ZXDC antibody (P15636) IHC-P was performed using sections of the formalin-fixed paraffin-embedded spleen tissue;Result: Cells in while pulp and a part of cells in red pulp are positively stained at the nuclei.

-
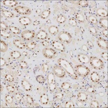
IHC-P analysis of kidney tissue by ZXDC antibody (P15636) IHC-P was performed using sections of the formalin-fixed paraffin-embedded kidney tissue;Result: Cells in tubules are positively stained at the nuclei.

-
IHC-P analysis of adrenal gland tissue by ZXDC antibody (P15636) IHC-P was performed using sections of the formalin-fixed paraffin-embedded adrenal gland tissue;Result: Cells in zona fasciculata are positively stained at the nuclei.

-
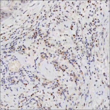
IHC-P analysis of esophagus cancer tissue by ZXDC antibody (P15636) IHC-P was performed using sections of the formalin-fixed paraffin-embedded esophagus cancer tissue;Result: Tumor cells are positively stained at the nuclei.

-
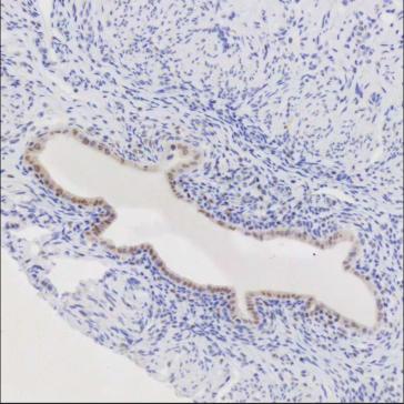
IHC-P analysis of fallopian tube tissue by ZXDC antibody (P15636) IHC-P was performed using sections of the formalin-fixed paraffin-embedded fallopian tube tissue;Result: Glandular cells are positively stained at the nuclei.











鄂公网安备42018502007531号

