-
分类: 科研抗体货号: P13761别名: HD10应用: WB反应种属: Human
-
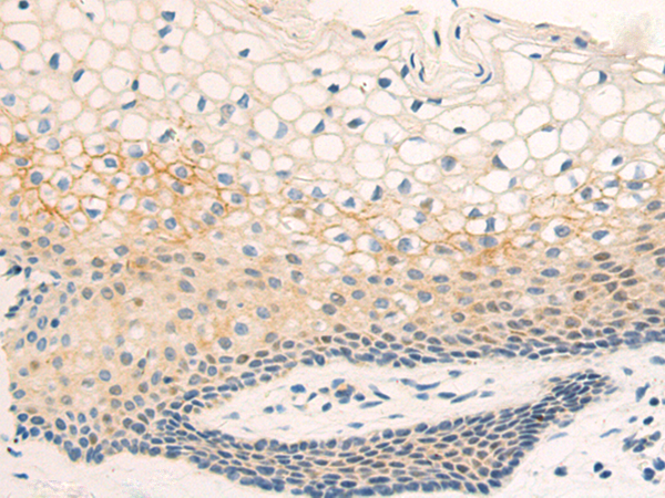
分类: 科研抗体货号: P13741别名: HB2A; KAP1.1; KAP1.6; KAP1.7; KAP1.1A; KAP1.1B; KRTAP1A; hKAP1.7; KRTAP1.1应用: IHC反应种属: Human
-
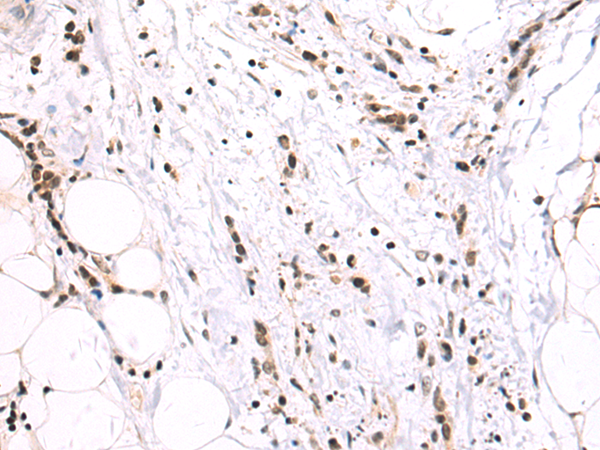
分类: 科研抗体货号: P13753别名: RCC; SCAR26应用: IHC反应种属: Human, Mouse, Rat
-
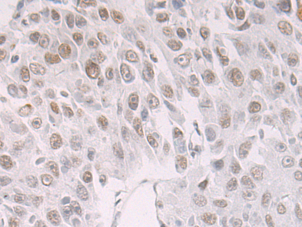
分类: 科研抗体货号: P13760别名: CD137L; TNLG5A; 4-1BB-L应用: IHC反应种属: Human
-
分类: 科研抗体货号: P13739别名: BK; BDK; KNG; HMWK应用: WB反应种属: Human, Mouse
-
分类: 科研抗体货号: P13751别名: NRF3应用: WB反应种属: Human
-
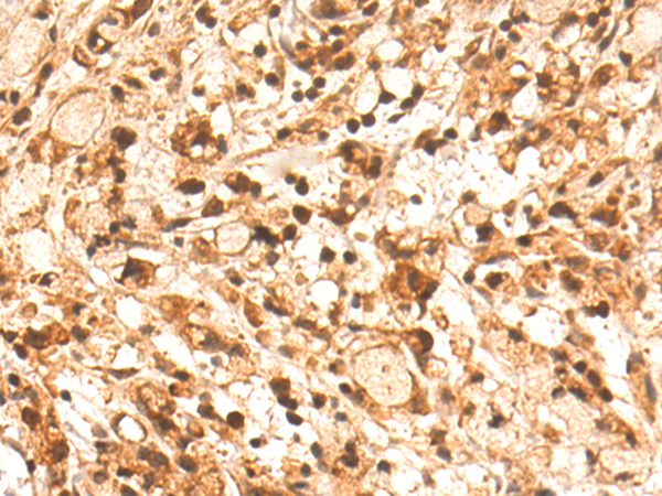
分类: 科研抗体货号: P13759别名: RNF15; RORET应用: IHC反应种属: Human
-
分类: 科研抗体货号: P13738别名: KINN; NKHC; NKHC2; CDCBM2; NKHC-2应用: IHC反应种属: Human, Mouse
-
分类: 科研抗体货号: P13750别名: BTF; bK211L9.1应用: IHC反应种属: Human, Mouse
-
分类: 科研抗体货号: P13770别名: FGF2; FHF2; FHF-2; FGF-13; LINC00889应用: IHC反应种属: Human, Mouse, Rat
鄂公网安备42018502007531号

