-
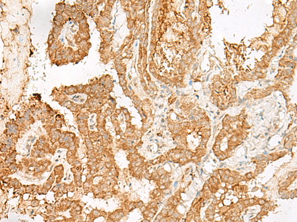
分类: 科研抗体货号: P13503别名: SREB1应用: IHC反应种属: Human, Mouse, Rat
-
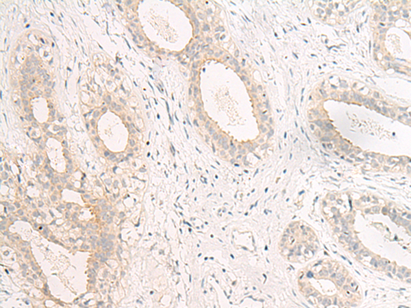
分类: 科研抗体货号: P13487别名:应用: IHC反应种属: Human, Mouse, Rat
-
分类: 科研抗体货号: P13520别名:应用: IHC反应种属: Human
-
分类: 科研抗体货号: P13502别名:应用: IHC反应种属: Human, Mouse, Rat
-
分类: 科研抗体货号: P13486别名: APG1; DREG; VIGR; LCCS9; PR126; GPR126; PS1TP2应用: IHC反应种属: Human
-
分类: 科研抗体货号: P13518别名: PGR2; GPRg1b应用: WB,IHC反应种属: Human
-
分类: 科研抗体货号: P13501别名: MHC-G应用: IHC反应种属: Human
-
分类: 科研抗体货号: P13485别名: PGR19; GPR110; KPG_012; hGPCR36应用: IHC反应种属: Human
-
分类: 科研抗体货号: P13517别名: GPR123应用: IHC反应种属: Human, Mouse
-
分类: 科研抗体货号: P13500别名: B1; S7; Bp35; CD20; CVID5; MS4A2; LEU-16应用: WB,IHC反应种属: Human
鄂公网安备42018502007531号

