-
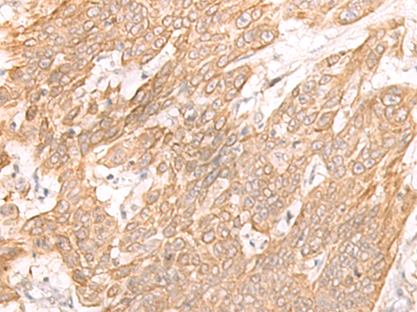
分类: 科研抗体货号: P13347别名: MHC; HLAC; HLC-C; D6S204; PSORS1; HLA-JY3应用: IHC反应种属: Human
-
分类: 科研抗体货号: P13311别名: VMPI; CED12; CED-12; ELMO-2; Ced-12A应用: WB,IHC反应种属: Human, Mouse
-
分类: 科研抗体货号: P13346别名: AS; HLAB; B-4901应用: WB反应种属: Human
-
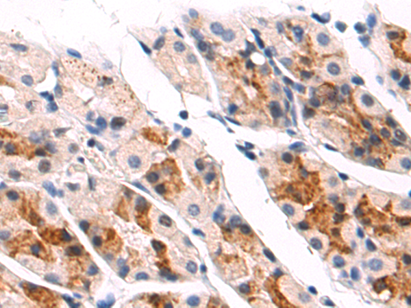
分类: 科研抗体货号: P13328别名: BRESI1应用: WB,IHC反应种属: Human
-
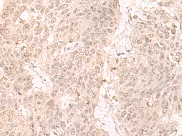
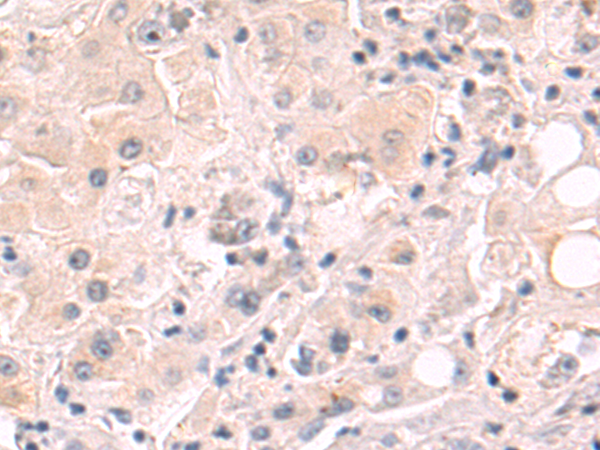
分类: 科研抗体货号: P13345别名: HLAA应用: WB,IHC反应种属: Human
-
分类: 科研抗体货号: P13327别名: ELF-1; EPLG6; LERK6; HEK7-L; LERK-6应用: WB反应种属: Human, Mouse
-
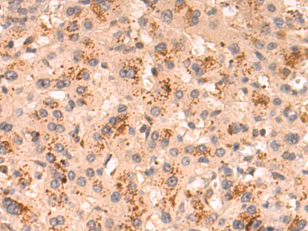
分类: 科研抗体货号: P13342别名: NIRF; IL-20; IL-17B; ZCYTO7应用: WB,IHC反应种属: Human, Mouse, Rat
-
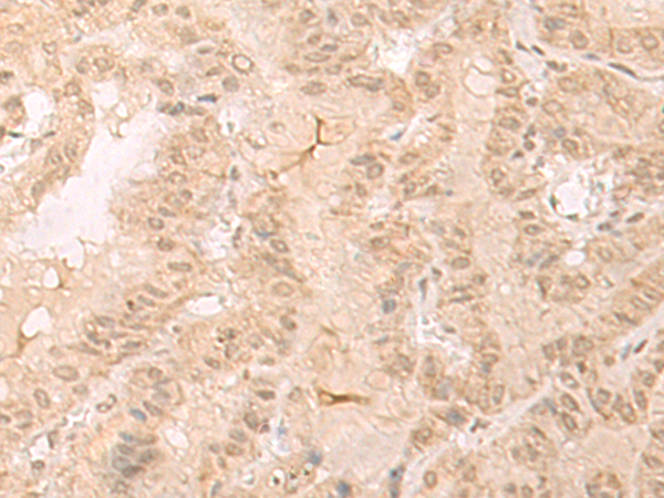
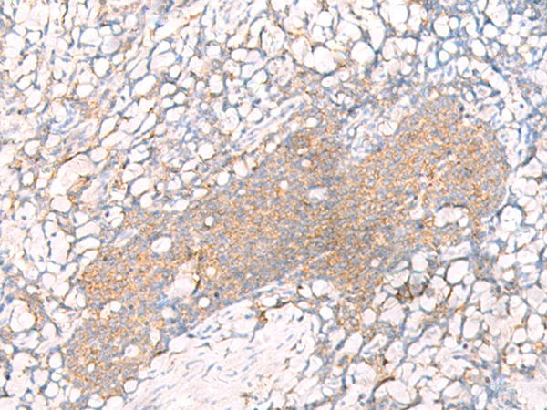
分类: 科研抗体货号: P13361别名: HLA-DRA1应用: IHC反应种属: Human
-
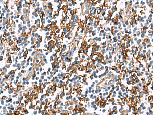
分类: 科研抗体货号: P13341别名: IL29; IL-29应用: IHC反应种属: Human
-
分类: 科研抗体货号: P13360别名: PHP; GHDX; MRGH; PHPX; SOXB应用: IHC反应种属: Human, Mouse
鄂公网安备42018502007531号

