-
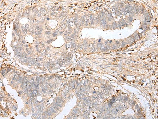
分类: 科研抗体货号: P12631别名: AFX; AFX1; MLLT7应用: IHC反应种属: Human, Mouse
-
分类: 科研抗体货号: P12630别名: FGFBP; HBP17; FGF-BP; FGF-BP1; FGFBP-1应用: WB反应种属: Human
-
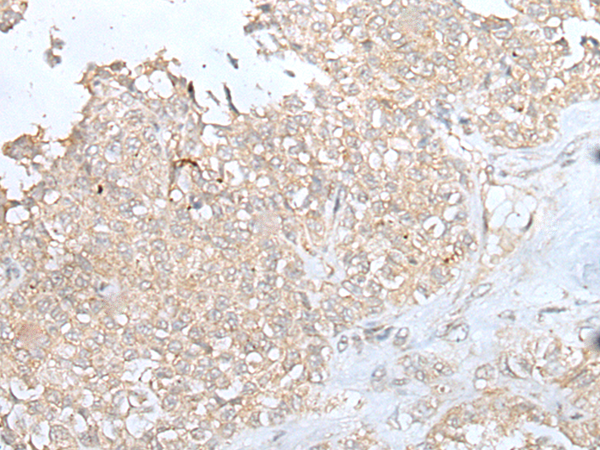
分类: 科研抗体货号: P12647别名:应用: IHC反应种属: Human
-
分类: 科研抗体货号: P12629别名: MKP7; MKP-7应用: IHC反应种属: Human
-
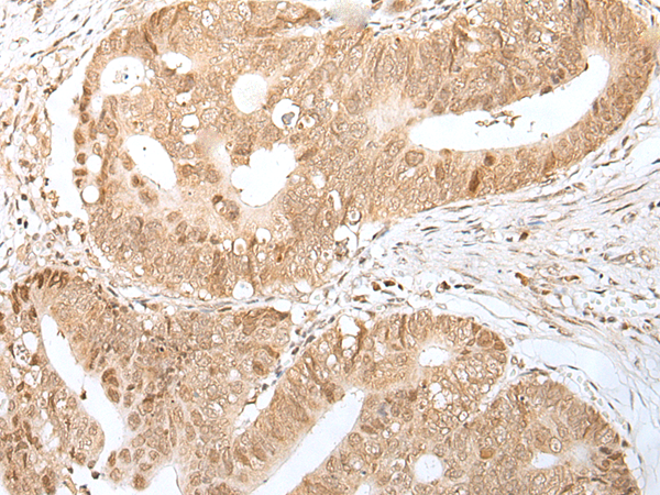
分类: 科研抗体货号: P12646别名: SGB; DGSX; MXR7; SDYS; SGBS; OCI-5; SGBS1; GTR2-2应用: IHC反应种属: Human, Mouse
-
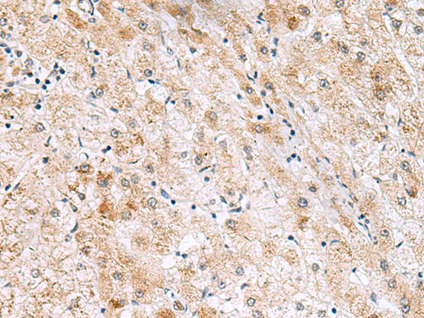
分类: 科研抗体货号: P12628别名: EFL4; EPLG4; LERK4应用: IHC反应种属: Human, Mouse
-
分类: 科研抗体货号: P12645别名:应用: WB反应种属: Human
-
分类: 科研抗体货号: P12627别名:应用: WB反应种属: Human, Mouse, Rat
-
分类: 科研抗体货号: P12644别名: K-glypican应用: WB,IHC反应种属: Human, Mouse
-
分类: 科研抗体货号: P12622别名: DOK5L; HsT3226应用: IHC反应种属: Human, Mouse
鄂公网安备42018502007531号

