-
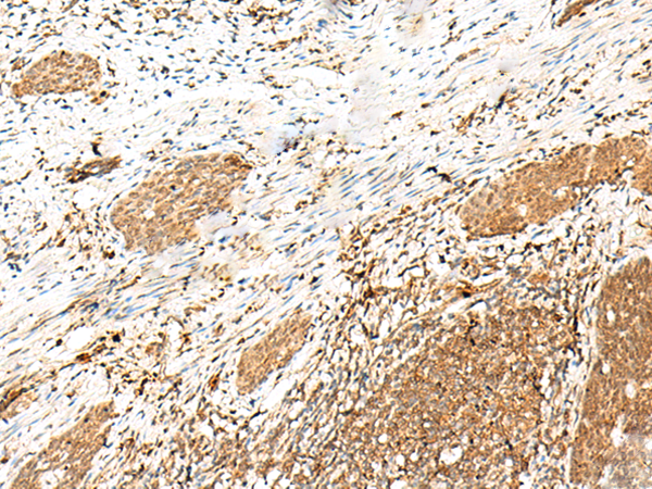
分类: 科研抗体货号: P06699别名: HLAA; HLAF; CDA12; HLA-5.4; HLA-CDA12; HLAHP应用: IHC反应种属: Human
-
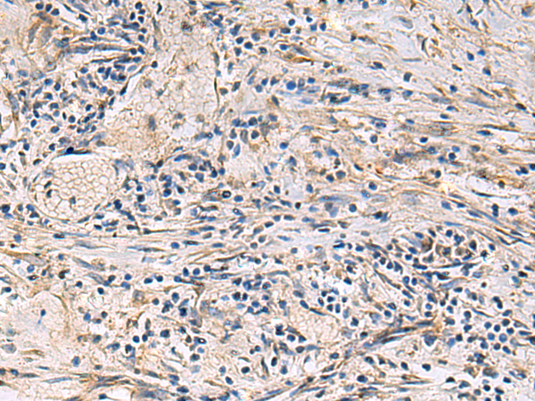
分类: 科研抗体货号: P06726别名: SBBI48应用: IHC反应种属: Human
-
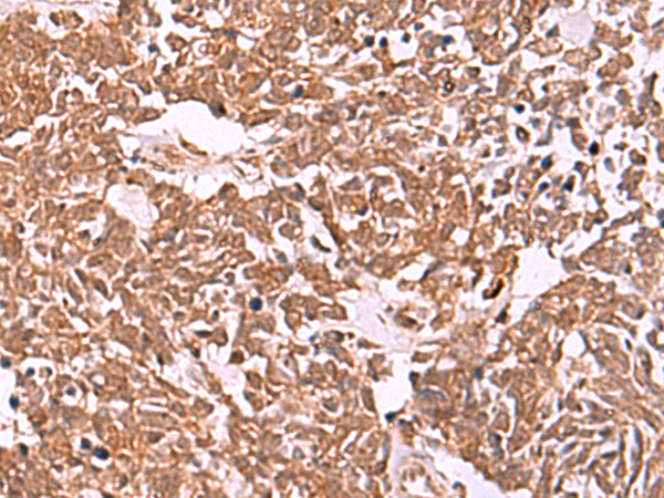
分类: 科研抗体货号: P06690别名: MOZ; MRD32; MYST3; MYST-3; ZNF220; RUNXBP2; ZC2HC6A应用: IHC反应种属: Human, Mouse, Rat
-
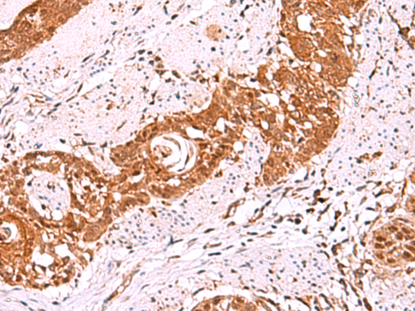
分类: 科研抗体货号: P06698别名: HLA-DXA; HLADQA2; DX-ALPHA应用: IHC反应种属: Human
-
分类: 科研抗体货号: P06724别名: OSTL; IBRDC1; C6orf172; dJ84N20.1应用: WB反应种属: Human, Mouse
-
分类: 科研抗体货号: P06688别名: HRG22; ZBTB30; ZNF907应用: IHC反应种属: Human, Mouse
-
分类: 科研抗体货号: P06766别名:应用: IHC反应种属: Human, Mouse, Rat
-
分类: 科研抗体货号: P06721别名:应用: WB,IHC反应种属: Human, Rat
-
分类: 科研抗体货号: P06687别名: HIP应用: IHC反应种属: Human, Mouse
-
分类: 科研抗体货号: P06764别名: HMMS; IRXB2; IRX-2a应用: WB,IHC反应种属: Human, Mouse
鄂公网安备42018502007531号

