-
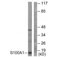
分类: 科研抗体货号: P41834别名: S100-ALPHA ; S100 CALCIUM-BINDING PROTEIN A1;应用: WB,IHC,IF反应种属: Human,Mouse,Rat
-
分类: 科研抗体货号: P41833别名: GTP-binding protein Rit1; Ras-like protein expressed in many tissues; Ras-like without CAAX protein 1; RIBB; RIT应用: WB反应种属: Human
-
分类: 科研抗体货号: P41848别名: FIP; upstream transcription factor 2; c-fos interacting;应用: WB,IHC反应种属: Human,Mouse,Rat
-
分类: 科研抗体货号: P41832别名: RXRC; retinoid X receptor gamma;应用: WB,IHC,IF反应种属: Human,Mouse,Rat
-
分类: 科研抗体货号: P41838别名: B-cell surface antigen CD40; Bp50; CD40 antigen; CD40L receptor; CDw40应用: WB,IHC反应种属: Human
-
分类: 科研抗体货号: P41847别名: D8; UBE2; ubiquitin-activating enzyme E1 homolog; ubiquitin-activating enzyme E1-like; ubiquitin-activating enzyme E1-related protein应用: WB,IHC反应种属: Human
-
分类: 科研抗体货号: P41830别名: CHC1; Cell cycle regulatory protein; Regulator of chromosome condensation;应用: WB,IHC反应种属: Human
-
分类: 科研抗体货号: P41837别名: C-erbA-alpha; EAR-7; EAR7; ERBA1; NR1A1应用: WB,IHC反应种属: Human,Mouse,Rat
-
分类: 科研抗体货号: P41846别名: Alpha-tubulin 1; TBA1; TUBA1; Testis-specific alpha- tubulin; Tubulin H2-alpha应用: WB,IHC,IF反应种属: Human,Mouse,Rat
-
分类: 科研抗体货号: P41829别名: POTASSIUM CHANNEL; VOLTAGE-GATED; SHAW-RELATED SUBFAMILY; MEMBER 2;应用: WB,IHC反应种属: Human,Mouse,Rat
鄂公网安备42018502007531号

