-
分类: 科研抗体货号: P41620别名: aquaporin 10, AQPA_HUMAN应用: WB反应种属: Human
-
分类: 科研抗体货号: P41619别名: chemokine (C-C motif) ligand 3-like 1, LD78, 464.2, MIP1AP, SCYA3L, G0S19-2, SCYA3L1, D17S1718, LD78BETA应用: WB反应种属: Human,Mouse
-
分类: 科研抗体货号: P41635别名: AGMX1; ATK; Agammaglobulinaemia tyrosine kinase; B cell progenitor kinase; BPK应用: WB,IHC反应种属: Human,Mouse
-
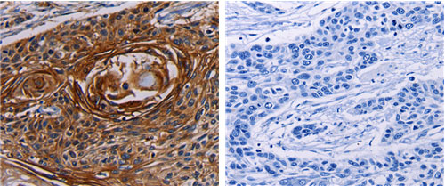
分类: 科研抗体货号: P41618别名: Fibroblast growth factor 7 , KGF, HBGF-7应用: WB,IHC反应种属: Human,Mouse,Rat
-
分类: 科研抗体货号: P41656别名: Apoptosis regulator BAX; membrane isoform alpha; BAXA; Bcl2-associated X protein;应用: WB,IF反应种属: Human,Mouse
-
分类: 科研抗体货号: P41633别名: HS90B; HSP 84; HSP90-beta; HSP90AB1; HSPC2应用: WB,IHC,IF反应种属: Human
-
分类: 科研抗体货号: P41617别名: Piwi-like RNA-mediated gene silencing 4, HIWI2; MIWI2应用: WB反应种属: Human
-
分类: 科研抗体货号: P41654别名: Activated CDC42 kinase 1; ACK-1; EC=2.7.10.2; EC=2.7.11.1; Tyrosine kinase non-receptor protein 2应用: WB反应种属: Human,Mouse
-
分类: 科研抗体货号: P41631别名: Elaxin/insulin-like family peptide receptor 4, GPR100; RLN3R2; RXFPR4; GPCR142应用: WB反应种属: Human,Mouse
-
分类: 科研抗体货号: P41616别名: integrin beta 3 binding protein (beta3-endonexin), CENPR, NRIF3, TAP20, CENP-R, HSU37139应用: WB反应种属: Human
鄂公网安备42018502007531号

