-
分类: 科研抗体货号: P41610别名: ARF;GAP;CAT-1;CAT1应用: WB反应种属: Human,Mouse,Rat
-
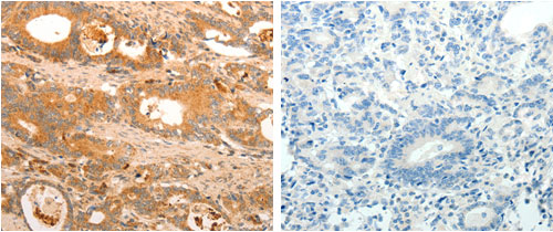
分类: 科研抗体货号: P41625别名: homeobox A11, HOX1, HOX1I应用: WB,IHC反应种属: Human,Mouse
-
分类: 科研抗体货号: P41609别名: BING2;DAP6应用: WB反应种属: Human,Mouse,Rat
-
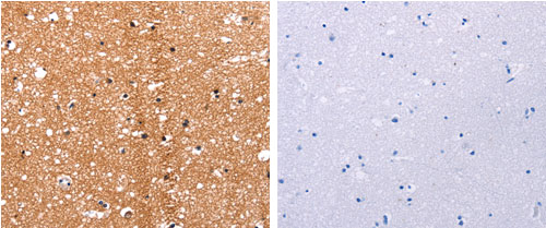
分类: 科研抗体货号: P41624别名: histone deacetylase 7, HD7A, HDAC7A应用: IHC反应种属: Human
-
分类: 科研抗体货号: P41608别名: SIR2L1应用: WB反应种属: Human,Mouse,Rat
-
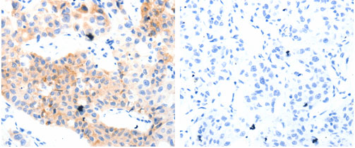
分类: 科研抗体货号: P41623别名: G protein-coupled receptor 3, ACCA应用: WB,IHC反应种属: Human,Mouse,Rat
-
分类: 科研抗体货号: P41607别名: KIAA0646应用: WB反应种属: Human
-
分类: 科研抗体货号: P41622别名: erythropoietin receptor, EPO-R应用: WB反应种属: Human,Rat
-
分类: 科研抗体货号: P41606别名: PDP;PPM2C应用: WB反应种属: Human,Mouse,Rat
-
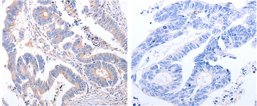
分类: 科研抗体货号: P41621别名: Eukaryotic translation initiation factor 4 gamma 2, P97, AAG1, DAP5, NAT1应用: WB,IHC反应种属: Human,Mouse
鄂公网安备42018502007531号

