-
分类: 科研抗体货号: P41564别名: Spleen tyrosine kinase应用: WB,IHC,IF反应种属: Human
-
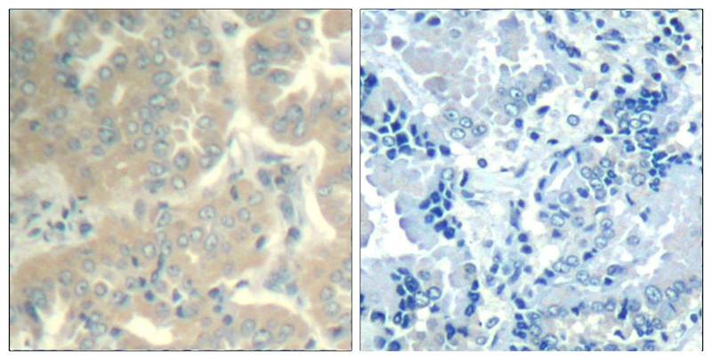
分类: 科研抗体货号: P41563别名: FADK 1; FAK1; PTK2应用: WB,IHC反应种属: Human,Mouse,Rat
-
分类: 科研抗体货号: P41579别名: GIG8; ID2A; ID2H应用: WB反应种属: Human,Mouse,Rat
-
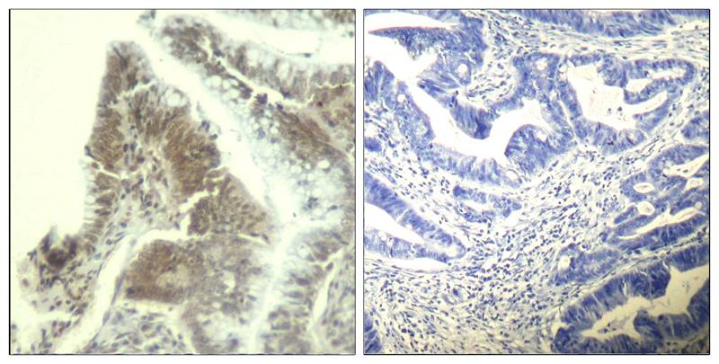
分类: 科研抗体货号: P41562别名: Serine/threonine-protein kinase PLSTIRE应用: WB,IHC反应种属: Human,Mouse,Rat
-
分类: 科研抗体货号: P41598别名: BBC3, JFY1, JFY-1,应用: WB反应种属: Human
-
分类: 科研抗体货号: P41578别名: HFH4; HFH-4; FKHL13应用: WB,IHC,IF反应种属: Human,Mouse,Rat
-
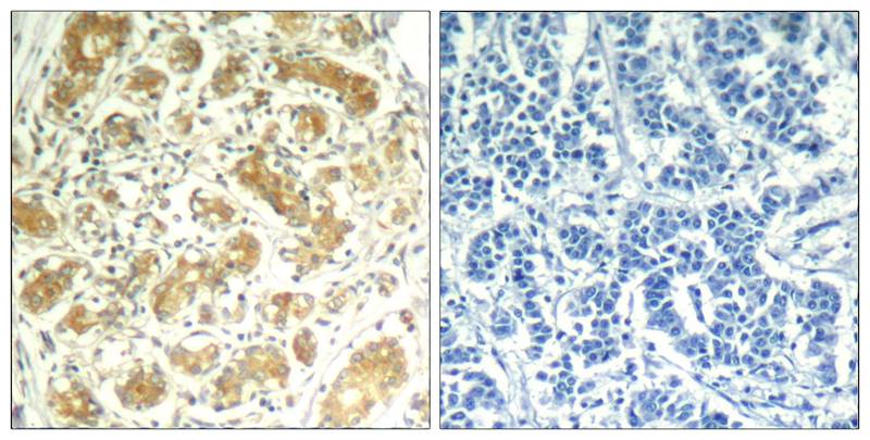
分类: 科研抗体货号: P41561别名: Serine/threonine-protein kinase PLSTIRE应用: IHC,IF反应种属: Human,Mouse
-
分类: 科研抗体货号: P41597别名: ACC, ACAC, ACC1, ACCA, ACACAD应用: WB反应种属: Human
-
分类: 科研抗体货号: P41577别名: SPCH1; CAGH44; TNRC10应用: WB反应种属: Human,Mouse,Rat
-
分类: 科研抗体货号: P41560别名: CCNE, CCNE1应用: IHC反应种属: Human
鄂公网安备42018502007531号

