-
分类: 科研抗体货号: P41570别名: HNRPA1; HNRPA1L3; hnRNP A1; hnRNP-A1; MGC102835应用: WB反应种属: Human,Mouse,Rat
-
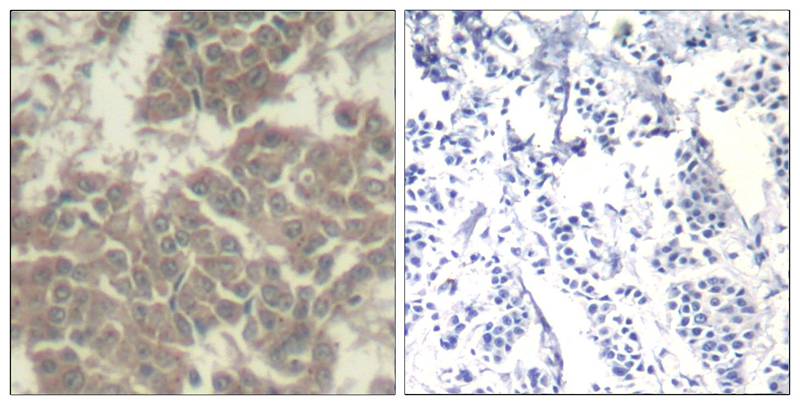
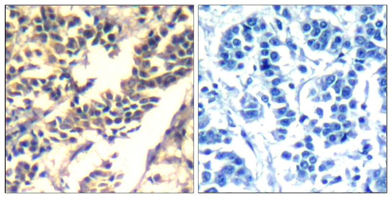
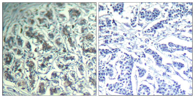
分类: 科研抗体货号: P41552别名: PLC-IV; PLC-gamma2; Phospholipase C-gamma-2应用: IHC,IF反应种属: Human,Mouse,Rat
-
分类: 科研抗体货号: P41569别名: Receptor tyrosine-protein kinase ErbB-1; ERBB1; kinase EGFR应用: WB反应种属: Human,Mouse,Rat
-
分类: 科研抗体货号: P41551别名: Phosphoinositide phospholipase C; Phospholipase C-gamma-1;应用: WB,IHC反应种属: Human,Mouse,Rat
-
分类: 科研抗体货号: P41568别名: HDMX, hdm2应用: WB,IHC,IF反应种属: Human,Mouse,Rat Monkey
-
分类: 科研抗体货号: P41550别名: JAK-2; Janus kinase 2; kinase Jak2应用: IHC反应种属: Human,Rat
-
分类: 科研抗体货号: P41567别名: Signal transduction protein CBL; Proto-oncogene c-CBL; Casitas B-lineage lymphoma proto-oncogene; RING finger protein 55;应用: WB,IHC反应种属: Human
-
分类: 科研抗体货号: P41548别名: HD4/HD5/HD9应用: WB,IHC,IF反应种属: Human,Mouse
-
分类: 科研抗体货号: P41566别名: Scatter factor receptor应用: WB,IHC反应种属: Human,Mouse,Rat
-
分类: 科研抗体货号: P41546别名:应用: WB,IHC,IF反应种属: Human
鄂公网安备42018502007531号

