-
分类: 科研抗体货号: P41504别名: Mad-related protein 2应用: WB,IF反应种属: Human,Mouse,Rat
-
分类: 科研抗体货号: P41503别名: Mad-related protein 1; SMAD 1; hSMAD1; Transforming growth factor-beta-signaling protein 1;应用: WB,IF反应种属: Human,Mouse,Rat
-
分类: 科研抗体货号: P41520别名: CCDC106; ZNF581; HSU79303应用: WB反应种属: Human
-
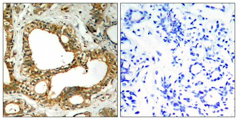
分类: 科研抗体货号: P41501别名: Protein-tyrosine phosphatase 2C应用: WB,IHC,IF反应种属: Human,Mouse,Rat
-
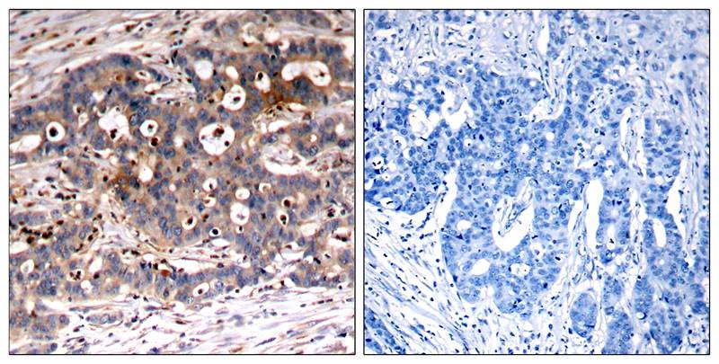
分类: 科研抗体货号: P41540别名: FRP1; MEC1; SCKL; SCKL1;应用: IHC反应种属: Human
-
分类: 科研抗体货号: P41519别名: PCL; FLT4; FLT41; LMPH1A;应用: WB反应种属: Human
-
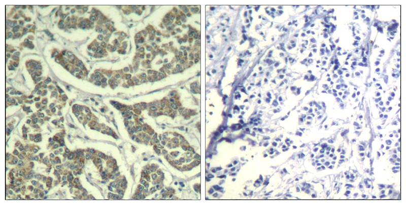
分类: 科研抗体货号: P41500别名: 70Z-SHP; EC 3.1.3.48; HCP; HCPH; Hematopoietic cell protein-tyrosine phosphatase应用: WB,IHC,IF反应种属: Human,Mouse
-
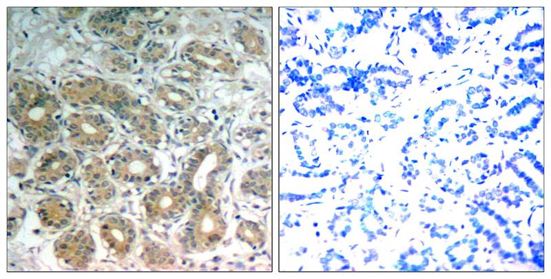
分类: 科研抗体货号: P41539别名: RAC-PK-alpha; Protein kinase B;应用: WB,IHC,IF反应种属: Human,Mouse,Rat
-
分类: 科研抗体货号: P41517别名: MAGED1应用: WB反应种属: Human,Mouse,Rat
-
分类: 科研抗体货号: P41499别名: SH2 domain protein C1; SHC; SHC-transforming protein 1; SHCA; Src homology 2 domain-containing-transforming protein C1应用: WB,IHC,IF反应种属: Human
鄂公网安备42018502007531号

