-
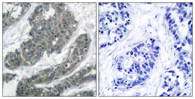
分类: 科研抗体货号: P41459别名: Amplaxin; CTTN; EMS1; SRC8;应用: WB,IHC反应种属: Human,Mouse
-
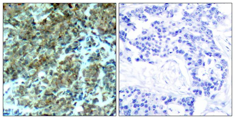
分类: 科研抗体货号: P41462别名: DOK1应用: WB,IHC,IF反应种属: Human
-
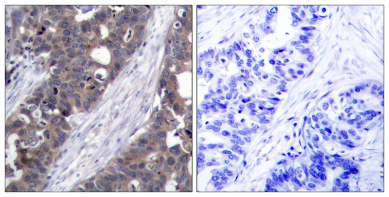
分类: 科研抗体货号: P41479别名: nPKC-delta应用: WB,IHC,IF反应种属: Human
-
分类: 科研抗体货号: P41456别名: KS6B1; P70-S6K; RPS6KB1; S6K;应用: WB,IHC,IF反应种属: Human,Mouse,Rat
-
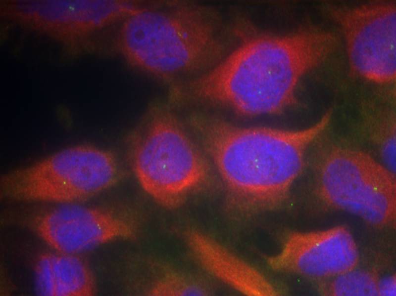
分类: 科研抗体货号: P41478别名: GLURZ1; GRIN1; NMD-R1; NMDZ1; NMZ1应用: IF反应种属: Human,Mouse,Rat
-
分类: 科研抗体货号: P41455别名: H2A.X; H2AFX; H2a/x; HIST5-2AX;应用: WB,IHC,IF反应种属: Human
-
分类: 科研抗体货号: P41476别名: MACS; MARCS; PKCSL; PRKCSL; Protein kinase C substrate应用: WB,IF反应种属: Human,Mouse,Rat
-
分类: 科研抗体货号: P41454别名: Syn-1, synapsin I应用: WB反应种属: Human,Mouse,Rat
-
分类: 科研抗体货号: P41475别名: GRIA2; GluR-2; GluR-B; GluR-K2; AMPA 2应用: WB反应种属: Human,Mouse,Rat
-
分类: 科研抗体货号: P41493别名: CK 8; CK8; CYK8; Cytokeratin endo A; K8应用: WB,IHC,IF反应种属: Human
鄂公网安备42018502007531号

