-
分类: 科研抗体货号: P41343别名: nPKC-D1; Protein kinase D; Protein kinase C mu type; nPKC-mu;应用: WB,IF反应种属: Human,Mouse,Rat
-
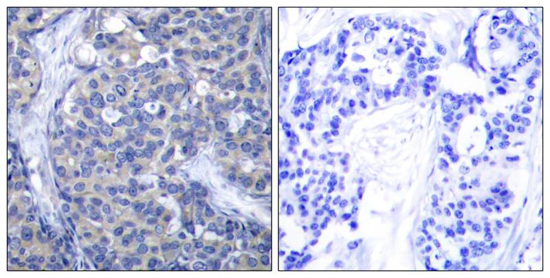
分类: 科研抗体货号: P41383别名: 70 kDa zeta-associated protein; SRK; Syk-related tyrosine kinase; ZA70; ZAP-70应用: WB,IHC反应种属: Human,Mouse,Rat
-
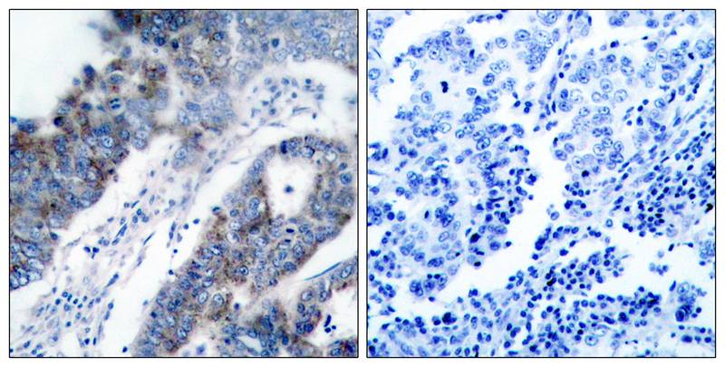
分类: 科研抗体货号: P41342别名: ASK-1; M3K5; MAP3K5; MAPK/ERK kinase kinase 5; MAPKKK5应用: WB,IHC,IF反应种属: Human
-
分类: 科研抗体货号: P41381别名: FOXO3A; FOXO2;应用: WB反应种属: Human,Mouse,Rat
-
分类: 科研抗体货号: P41341别名: MYF3; MYOD; MYOD1应用: WB反应种属: Human,Mouse,Rat
-
分类: 科研抗体货号: P41380别名: Constitutive NOS; EC-NOS; ECNOS; NOS3; NOSIII应用: WB,IF反应种属: Human,Mouse,Rat
-
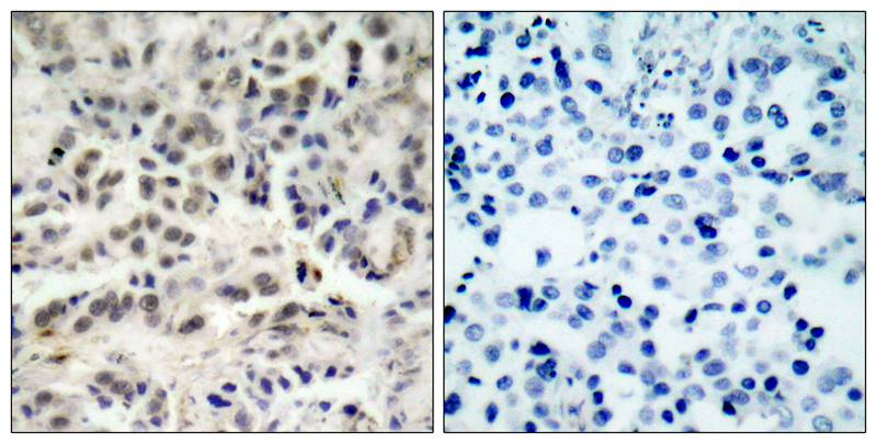
分类: 科研抗体货号: P41379别名: p21-activated kinase 1; PAK-1; p65-PAK; Alpha-PAK;应用: WB,IHC,IF反应种属: Human,Mouse,Rat
-
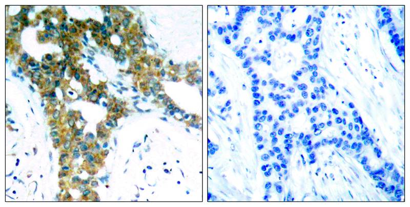
分类: 科研抗体货号: P41378别名: C-SRC; SRC1;应用: WB,IHC反应种属: Human,Mouse,Rat
-
分类: 科研抗体货号: P41364别名: CDKN1B; CDN1B; Cyclin-dependent kinase inhibitor 1B; Cyclin-dependent kinase inhibitor p27; KIP1应用: WB,IHC反应种属: Human,Mouse,Rat
-
分类: 科研抗体货号: P41376别名: VAV应用: WB反应种属: Human,Rat
鄂公网安备42018502007531号

