-
分类: 科研抗体货号: P41357别名: HD4; Histone deacetylase 4;应用: WB,IF反应种属: Human,Mouse,Rat
-
分类: 科研抗体货号: P41368别名: LC20, MLC2, MRLC1, MYRL2, MLC-2C应用: WB,IF反应种属: Human,Mouse,Rat
-
分类: 科研抗体货号: P41349别名: GLURZ1; GRIN1; NMD-R1; NMDZ1; NMZ1应用: WB反应种属: Human,Mouse,Rat
-
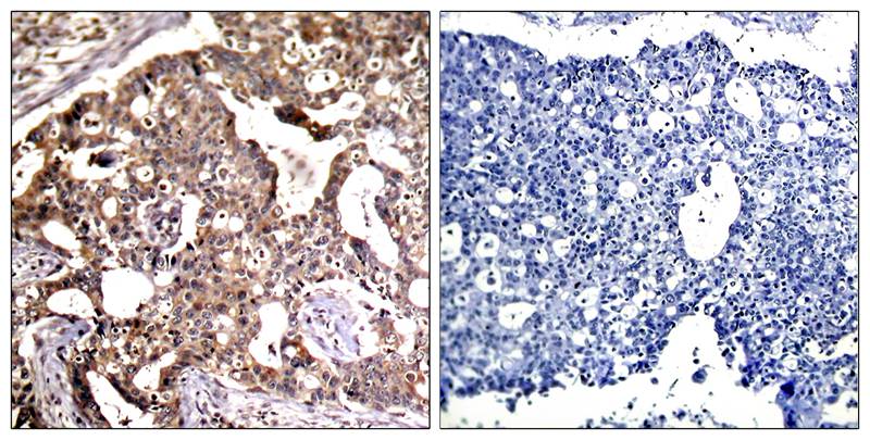
分类: 科研抗体货号: P41356别名: HD2; Histone deacetylase 2;应用: WB,IHC,IF反应种属: Human,Mouse,Rat
-
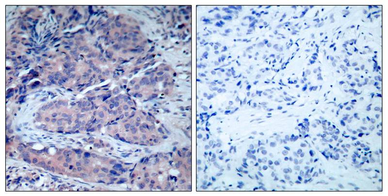
分类: 科研抗体货号: P41367别名: PKB beta; Akt-2; Protein kinase B; RAC-PK-beta;应用: WB,IHC反应种属: Human,Mouse,Rat
-
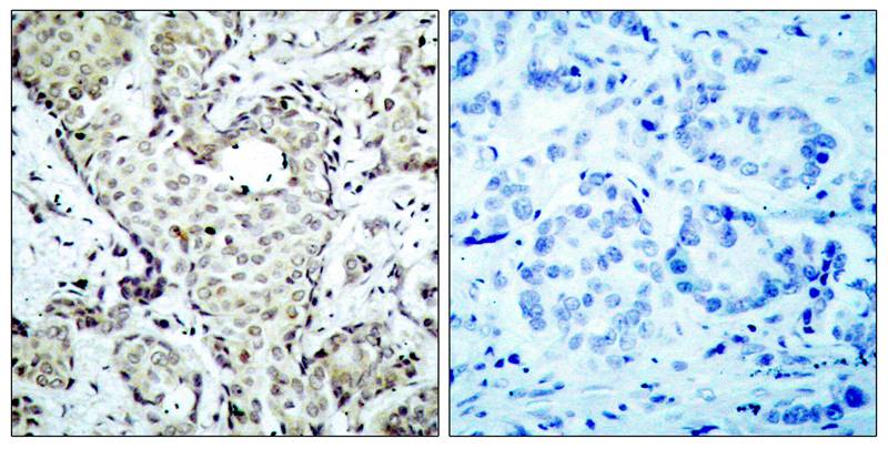
分类: 科研抗体货号: P41348别名: JNKK; JNKK1; MAP2K4; MAPK/ERK kinase 4; kinase 4应用: WB,IHC反应种属: Human,Mouse,Rat
-
分类: 科研抗体货号: P41388别名: DNPK1; PRKD; PRKDC; XRCC7; P460应用: WB反应种属: Human
-
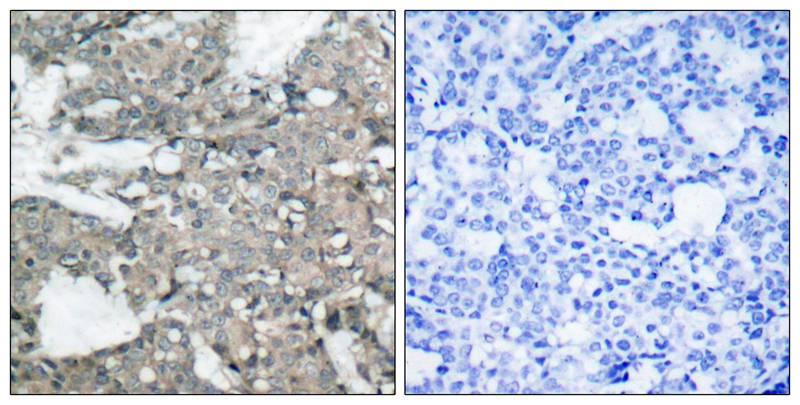
分类: 科研抗体货号: P41366别名: MAP kinase kinase 6; MAP2K6; MAPK/ERK kinase 6; MAPKK 6; MEK6应用: WB,IHC,IF反应种属: Human,Mouse,Rat
-
分类: 科研抗体货号: P41347别名: JNKK; JNKK1; MAP2K4; MAPK/ERK kinase 4; MAPKK 4应用: IHC,IF反应种属: Human,Mouse,Rat
-
分类: 科研抗体货号: P41385别名: ERK activator kinase 1; MAP kinase kinase 1; MAP2K1; MAPK/ERK kinase 1; MAPKK 1应用: WB,IHC反应种属: Human,Mouse
鄂公网安备42018502007531号

