-
分类: 科研抗体货号: P41229别名: 4E-BP1 antibody</br> 4EBP1 antibody</br> 4EBP1_HUMAN antibody</br> BP 1 antibody</br> eIF4E binding protein 1 antibody</br> eIF4E-binding protein 1 antibody</br> Eif4ebp1 antibody</br> Eukaryotic translation initiation factor 4E-binding protein 1 antibody应用: WB,IP反应种属: Human, Mouse, Rat
-
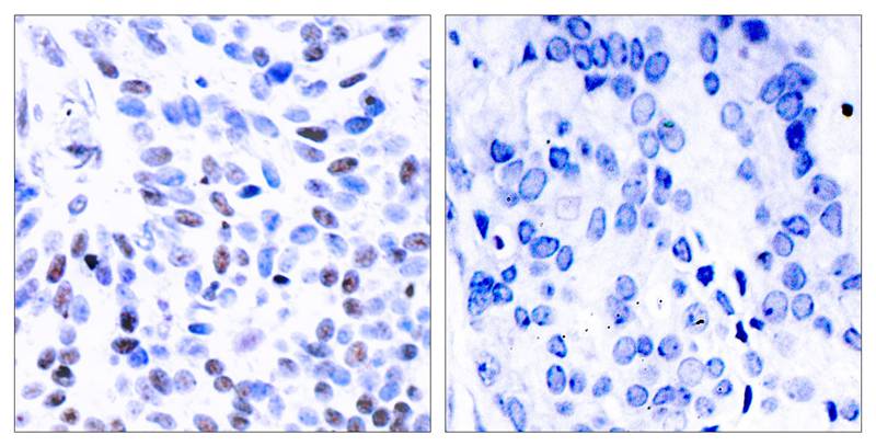
分类: 科研抗体货号: P41227别名: MKI67IP; NOPP34; MKI67 FHA domain-interacting nucleolar phosphoprotein; Nucleolar phosphoprotein Nopp34; Nucleolar protein interacting with the FHA domain of pKI-67; hNIFK应用: WB,IHC,IF反应种属: Human,Mouse,Rat
-
分类: 科研抗体货号: P41251别名: DNA-binding factor KBF2; H2TF1; Lymphocyte translocation chromosome 10; Lyt10; NFKB2应用: WB,IHC,IF反应种属: Human,Mouse,Rat
-
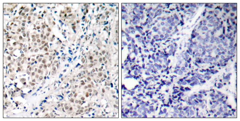
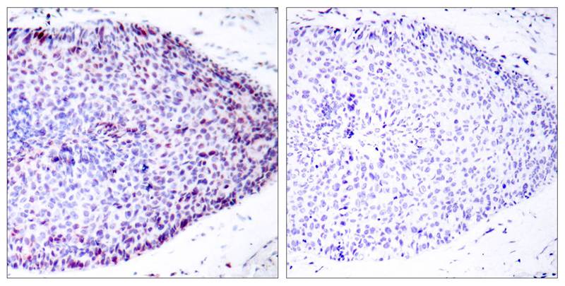
分类: 科研抗体货号: P41226别名: TSG24; Anaphase-promoting complex subunit 1; APC1; Cyclosome subunit 1; Mitotic checkpoint regulator; Testis-specific gene 24 protein应用: WB,IHC,IF反应种属: Human,Mouse
-
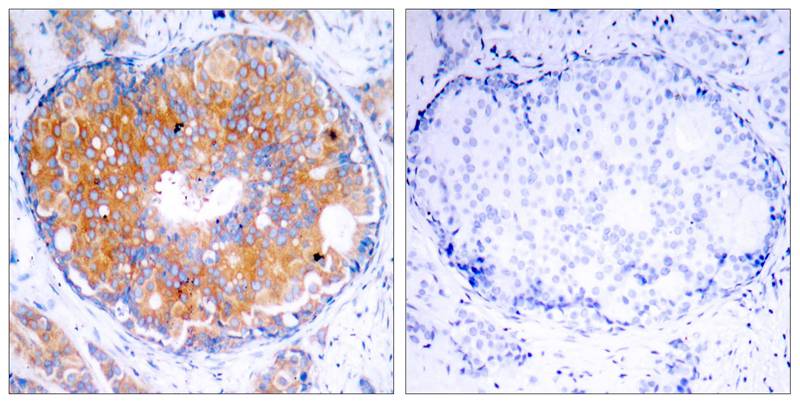
分类: 科研抗体货号: P41276别名: SLEB11应用: WB,IHC反应种属: Human,Mouse,Rat
-
分类: 科研抗体货号: P41247别名: NFKB3; RELA; TF65; Transcription factor p65; p65应用: WB,IHC,IF反应种属: Human,Mouse,Rat
-
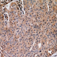
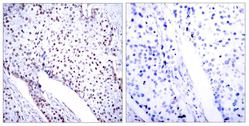
分类: 科研抗体货号: P41267别名: c-myc应用: WB,IHC反应种属: Human
-
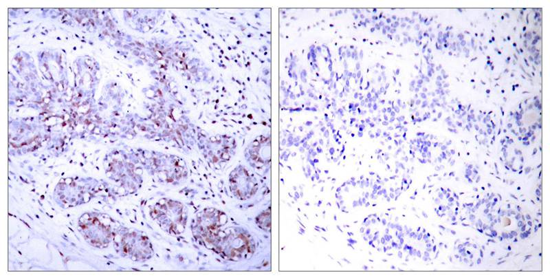
分类: 科研抗体货号: P41274别名: APRF; Acute-phase response factor; HIES应用: WB,IHC,IF反应种属: Human,Mouse,Rat
-
分类: 科研抗体货号: P41245别名: ERK activator kinase 2; MAP kinase kinase 2; MAP2K2; MAPK/ERK kinase 2; MAPKK 2应用: WB,IHC反应种属: Human,Rat
-
分类: 科研抗体货号: P41264别名: CREB2; CREBP1;应用: WB,IHC,IF反应种属: Human,Mouse,Rat
鄂公网安备42018502007531号

