-
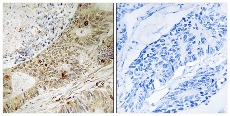
分类: 科研抗体货号: P40735别名: ATIP; ATM and Rad3 related interacting protein; ATR-interacting protein应用: WB,IHC反应种属: Human
-
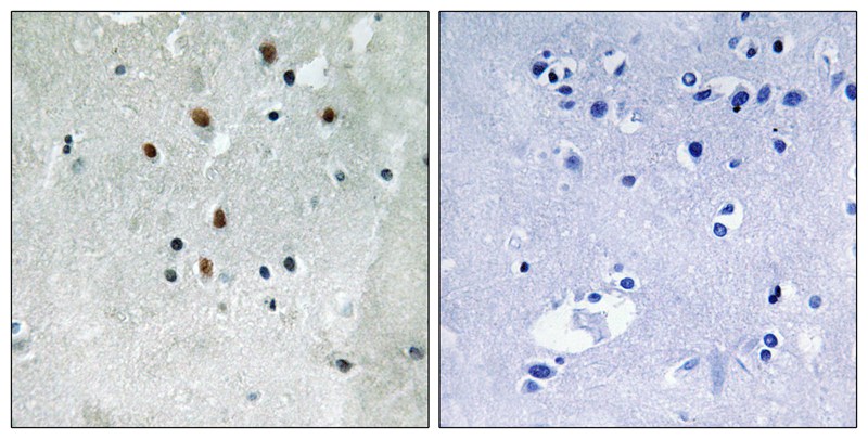
分类: 科研抗体货号: P40734别名: ataxia telangiectasia and Rad3-related protein; EC 2.7.11.1; FRAP-related protein; FRP1; kinase ATR; protein kinase ATR应用: IHC反应种属: Human
-
分类: 科研抗体货号: P40758别名: EC 2.7.11.25; M3K7; MAP3K7; Mitogen-activated protein kinase kinase kinase 7; TGF-beta- activated kinase 1; Transforming growth factor-beta-activated kinase 1; kinase TAK1应用: WB反应种属: Human,Mouse,Rat
-
分类: 科研抗体货号: P40732别名: ALK tyrosine kinase receptor precursor; Anaplastic lymphoma kinase; CD246; EC 2.7.10.1; kinase ALK应用: WB,IHC,IF反应种属: Human
-
分类: 科研抗体货号: P40789别名: ERBB2IP; ERBIN; KIAA1225; LAP2; Protein LAP2; Densin-180-like protein; Erbb2-interacting protein; Erbin应用: WB反应种属: Human
-
分类: 科研抗体货号: P40757别名: Signal transducer and activator of transcription 5B应用: WB,IHC反应种属: Human,Mouse,Rat
-
分类: 科研抗体货号: P40780别名: CEBPB; LAP; TCF5; PP9092; CCAAT/enhancer-binding protein beta; C/EBP beta; Liver activator protein; Nuclear factor NF-IL6; Transcription factor 5; TCF-5应用: WB,IHC,IF反应种属: Human,Mouse,Rat
-
分类: 科研抗体货号: P40787别名: CTTN; EMS1; Src substrate cortactin; Amplaxin; Oncogene EMS1应用: WB,IHC反应种属: Human,Mouse,Rat
-
分类: 科研抗体货号: P40756别名: serum response factor应用: WB,IHC反应种属: Human,Mouse
-
分类: 科研抗体货号: P40778别名: JUN; Transcription factor AP-1; Activator protein 1; AP1; Proto-oncogene c-Jun; V-jun avian sarcoma virus 17 oncogene homolog; p39应用: WB,IP,IHC反应种属: Human,Mouse,Rat
鄂公网安备42018502007531号

