-
分类: 科研抗体货号: P40701别名: H2A 615 antibody; H2A GL101 antibody; H2A.1 antibody; HIST1H2AE antibody; MGC74460 antibody应用: WB反应种属: Human,Mouse,Rat
-
分类: 科研抗体货号: P40660别名: PPP1R50, BCL2应用: WB反应种属: Human
-
分类: 科研抗体货号: P40673别名: SNA, SNAH, SNAIL, SLUGH2, SNAIL1应用: WB反应种属: Human,Mouse,Rat
-
分类: 科研抗体货号: P40700别名: H2B GL105 antibody; H2B.1 antibody; Histone H2B type 1B antibody; HIST1H2BB antibody应用: WB反应种属: Human,Mouse,Rat
-
分类: 科研抗体货号: P40657别名: CSVP, TACE, NISBD, ADAM18, CD156B应用: WB反应种属: Human,Mouse,Rat
-
分类: 科研抗体货号: P40668别名: C1, C2, HNRNP, HNRPC, SNRPC应用: WB反应种属: Human
-
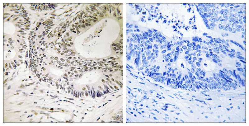
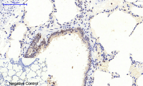
分类: 科研抗体货号: P40688别名: ERK1/2, ERK1, ERT2, ERK-1, PRKM3, P44ERK1应用: WB,IHC,IF反应种属: Human,Mouse,Rat
-
分类: 科研抗体货号: P40656别名: MAY1, PKCD, nPKC-delta应用: WB反应种属: Human
-
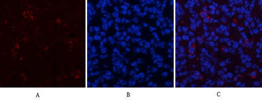
分类: 科研抗体货号: P40730别名: P531; TP53B; TP53BP1; TRP53BP1; Tumor suppressor p53-binding protein 1; p53-binding protein 1应用: IHC,IF反应种属: Human,Mouse,Rat
-
分类: 科研抗体货号: P40683别名: bHLHe76应用: WB反应种属: Human,Mouse,Rat
鄂公网安备42018502007531号

