-
分类: 科研抗体货号: P40539别名: BRCC2; BRCA2; subunit 2; BRCA1/BRCA2-containing complex;应用: WB反应种属: Human,Mouse,Rat
-
分类: 科研抗体货号: P40588别名: SRBP1; SREBF1; SREBP1; sterol regulatory element-binding protein 1;应用: WB反应种属: Human
-
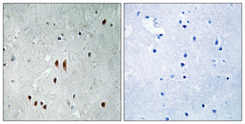
分类: 科研抗体货号: P40510别名: NCF1; P47 phox; NCF-47K;应用: WB,IHC反应种属: Human
-
分类: 科研抗体货号: P40536别名: MUSK; Muscle; skeletal;应用: WB反应种属: Human
-
分类: 科研抗体货号: P40586别名: CDC25M2; MPIP2; Dual specificity phosphatase Cdc25B; CDC25HU2;应用: WB反应种属: Human,Mouse
-
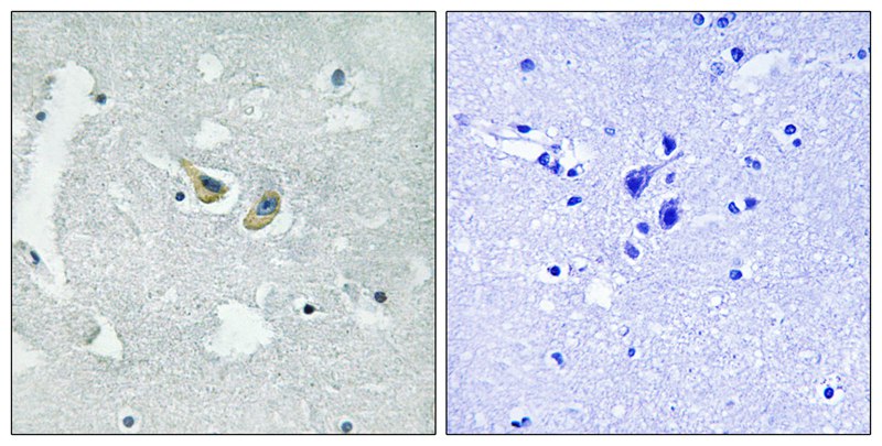
分类: 科研抗体货号: P40509别名: NOT2H; CDC36; CNOT2; HSPC131;应用: IHC反应种属: Human,Mouse,Rat
-
分类: 科研抗体货号: P40534别名: EHK3; EK11; HEK11;应用: WB反应种属: Human
-
分类: 科研抗体货号: P40584别名: 3CH134; CL100; Dual specificity protein phosphatase 1; DUS1; DUSP1应用: WB反应种属: Human,Mouse,Rat
-
分类: 科研抗体货号: P40563别名: DRK1; KCB1; KCNB1; Potassium channel Kv2.1; Potassium voltage-gated channel subfamily B member 1应用: WB反应种属: Human
-
分类: 科研抗体货号: P40529别名: VAV3; FLJ40431; Guanine nucleotide exchange factor VAV3;应用: WB反应种属: Human
鄂公网安备42018502007531号

