-
分类: 科研抗体货号: P40516别名: HCLS1; LCKBP1; Hematopoietic cell- specific LYN substrate 1;应用: WB反应种属: Human
-
分类: 科研抗体货号: P40515别名: TOB; Transducer of erbB-2 1;应用: WB,IHC反应种属: Human,Mouse,Rat
-
分类: 科研抗体货号: P40550别名: B-lymphocyte antigen CD19; B-lymphocyte surface antigen B4; CD19; CD19 molecule; MGC12802应用: WB反应种属: Human,Mouse,Rat
-
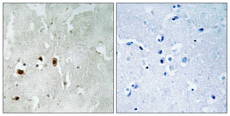
分类: 科研抗体货号: P40514别名: HTATIP; TI60; Tat-interactive protein-60;应用: IHC反应种属: Human,Mouse,Rat
-
分类: 科研抗体货号: P40595别名: PPIase Pin1; Rotamase Pin1; Peptidyl-prolyl cis-trans isomerase NIMA-interacting 1; EC 5.2.1.8;应用: WB反应种属: Human,Mouse
-
分类: 科研抗体货号: P40543别名: p150; c-ABL; EC 2.7.10.2;应用: WB反应种属: Human,Mouse,Rat
-
分类: 科研抗体货号: P40513别名: SCL; TAL1; TCL5;应用: WB反应种属: Human,Mouse
-
分类: 科研抗体货号: P40589别名: YAP65; YAP1;应用: WB,IHC,IF反应种属: Human,Mouse,Rat
-
分类: 科研抗体货号: P40541别名: DLP1; DNM1L; DRP1; DVLP; Dymple应用: WB反应种属: Human,Mouse,Rat
-
分类: 科研抗体货号: P40511别名: PAK5; PAK 6; kinase PAK6;应用: WB反应种属: Human,Mouse
鄂公网安备42018502007531号

