-
分类: 科研抗体货号: P40527别名: ADHD7; NTPH; TPH2;应用: WB反应种属: Human,Mouse,Rat
-
分类: 科研抗体货号: P40505别名: MAPK2; MAPKAPK2; RPS6KC1;应用: WB,IHC反应种属: Human,Mouse,Rat
-
分类: 科研抗体货号: P40522别名: HD7a; HDA7; HDAC7A;应用: WB反应种属: Human,Mouse
-
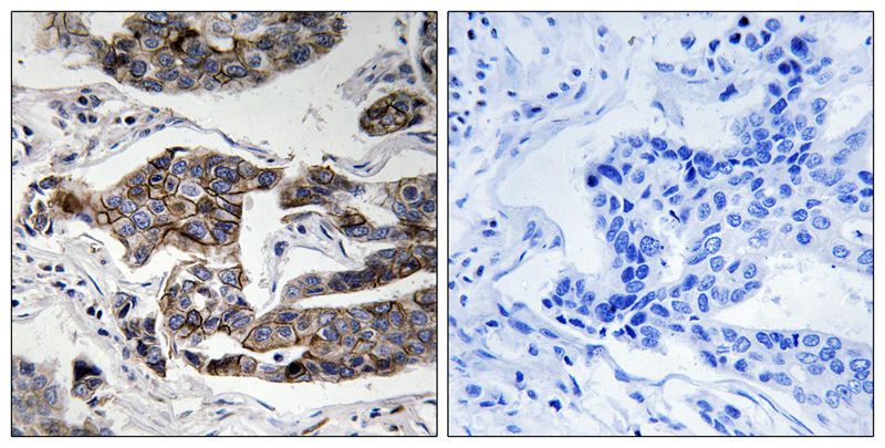
分类: 科研抗体货号: P40504别名: APE; GIV; GRDN; HkRP1; KIAA1212应用: IHC反应种属: Human,Mouse
-
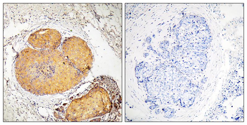
分类: 科研抗体货号: P40519别名: MORT1 ; FAS-associating death domain-containing protein; Mediator of receptor induced toxicity;应用: WB,IHC反应种属: Human,Mouse
-
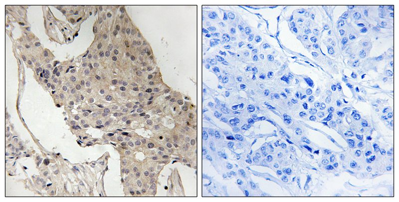
分类: 科研抗体货号: P40503别名: pp100; KIAA0571 ; GRB2-associated binder 2;应用: WB,IHC反应种属: Human,Mouse
-
分类: 科研抗体货号: P40518别名: CBF-A; NSEP1; EFI-A; MSY-1; YBX1应用: WB反应种属: Human,Mouse,Rat
-
分类: 科研抗体货号: P40502别名: pp100; GABJ; KIAA0571;应用: WB,IHC反应种属: Human,Mouse,Rat
-
分类: 科研抗体货号: P40517别名: PLD 1; hPLD1; Choline phosphatase 1;应用: WB反应种属: Human
-
分类: 科研抗体货号: P40500别名: AF1P; MLLT5; EPS15; Protein Eps15;应用: WB反应种属: Human,Mouse,Rat
鄂公网安备42018502007531号

