-
分类: 科研抗体货号: P40407别名: GP150; ITB4; CD104 antigen;应用: WB,IHC反应种属: Human,Mouse,Rat
-
分类: 科研抗体货号: P40395别名: CHEK2; CHK2; Cds1; Chk2; RAD53应用: WB,IF反应种属: Human,Mouse,Rat Monkey
-
分类: 科研抗体货号: P40406别名: CD122 antigen; P70-75; IL-2 receptor; IL-2R beta;应用: WB反应种属: Human,Mouse
-
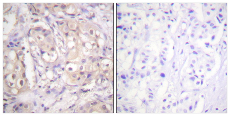
分类: 科研抗体货号: P40394别名: B-RAF; RAFB1; RMIL; BRAF1; c-RMIL应用: WB,IHC,IF反应种属: Human,Mouse,Rat
-
分类: 科研抗体货号: P40405别名: ROD; AUF1; HNRPD;应用: WB,IHC,IF反应种属: Human,Mouse
-
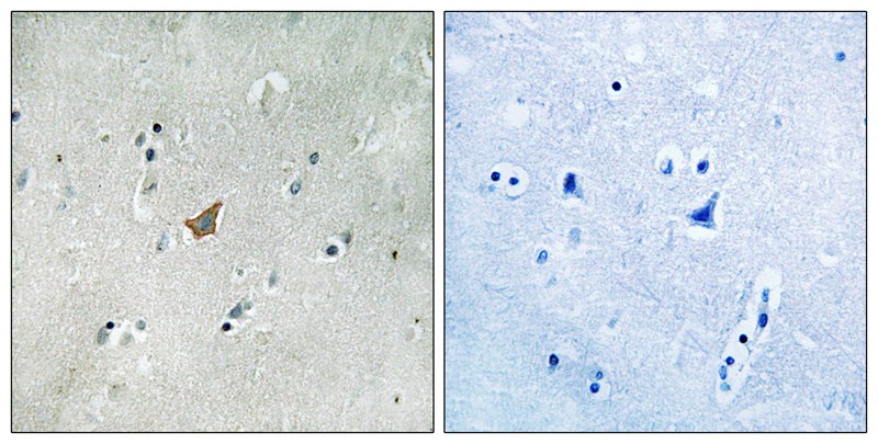
分类: 科研抗体货号: P40436别名: FIP3; IKBKG; IKKAP1; IKKG; NF-kappaB应用: IHC反应种属: Human
-
分类: 科研抗体货号: P40404别名: H1-R; HRH1; histamine H1 receptor;应用: IF反应种属: Human
-
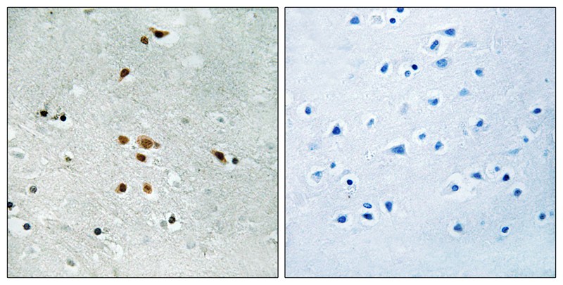
分类: 科研抗体货号: P40434别名: FER; FERT2; TYK3; p94-FER;应用: WB,IHC反应种属: Human,Mouse
-
分类: 科研抗体货号: P40403别名: KAP3; PRKAR2B; PKA R2-beta;应用: WB反应种属: Human,Mouse,Rat
-
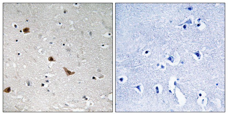
分类: 科研抗体货号: P40433别名: EPA3; ETK; HEK; MEK4; REK应用: IHC反应种属: Human
鄂公网安备42018502007531号

