-
分类: 科研抗体货号: P40359别名: Fumarase; fumarate hydratase; Fumarate hydratase, mitochondrial; FUMH; HLRCC;聽应用: WB反应种属: Human,Mouse,Rat
-
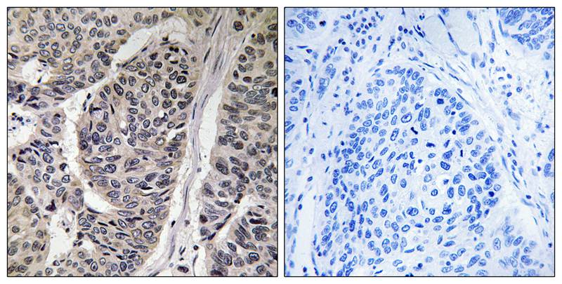
分类: 科研抗体货号: P40358别名: Catenin beta-1; CTNB1; CTNNB; CTNNB1应用: WB,IHC反应种属: Human,Mouse,Rat
-
分类: 科研抗体货号: P40377别名: p54; ETS1; ETS-1; C-ets-1 protein;应用: WB,IHC,IF反应种属: Human,Mouse
-
分类: 科研抗体货号: P40357别名: FBL3A; FBXL3A应用: WB反应种属: Human,Mouse,Rat
-
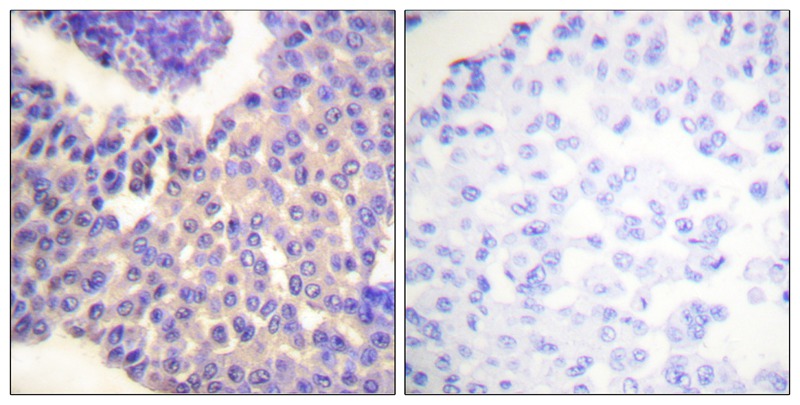
分类: 科研抗体货号: P40363别名: MGC117307,MGC142128,MGC8947,MIG10,PGKA应用: WB,IP,IHC反应种属: Human,Mouse
-
分类: 科研抗体货号: P40374别名: ARR1; arrestin 2; arrestin beta 1; beta-arrestin-1;应用: WB,IHC反应种属: Human
-
分类: 科研抗体货号: P40356别名: ARHGAP7, KIAA1723, STARD12应用: WB反应种属: Human
-
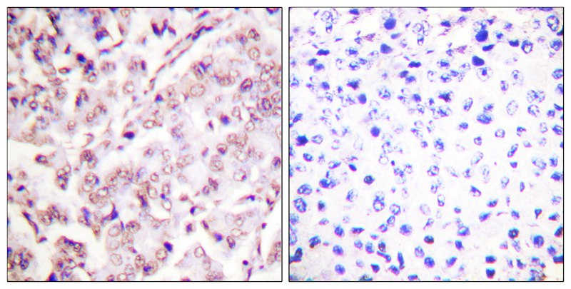
分类: 科研抗体货号: P40362别名: CDC25M3, MPIP1应用: WB,IHC反应种属: Human
-
分类: 科研抗体货号: P40373别名: BCAR1; CRKAS; CRK-ASSOCIATED SUBSTRATE;应用: WB,IHC反应种属: Human
-
分类: 科研抗体货号: P40355别名: BING2; DAP6应用: WB反应种属: Human,Mouse,Rat
鄂公网安备42018502007531号

