-
分类: 科研抗体货号: P40322别名: PAXI; PXN;应用: WB,IF反应种属: Human
-
分类: 科研抗体货号: P40300别名: C9orf88应用: WB反应种属: Human,Mouse
-
分类: 科研抗体货号: P40320别名: P113; ISGF-3; STAT113; MGC59816;应用: WB反应种属: Human
-
分类: 科研抗体货号: P40335别名: Map2k5应用: WB反应种属: Human,Mouse,Rat
-
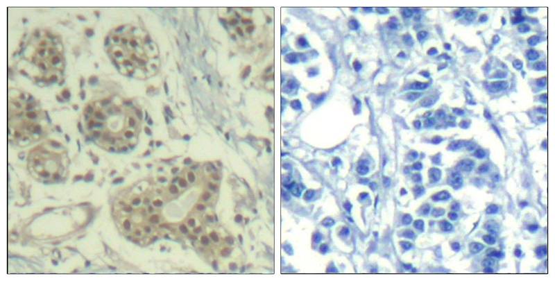
分类: 科研抗体货号: P40319别名: MACS, 80K-L, PKCSL, PRKCSL应用: WB,IHC反应种属: Human
-
分类: 科研抗体货号: P40333别名: CDC25B应用: WB反应种属: Mouse
-
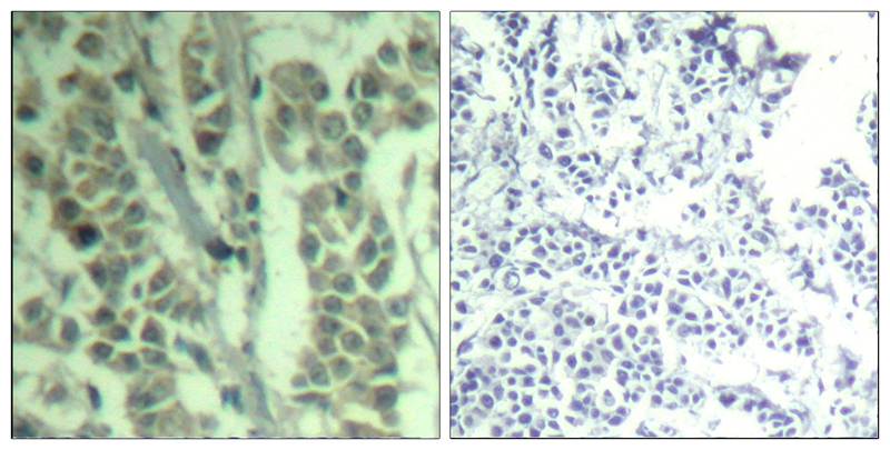
分类: 科研抗体货号: P40317别名: Abelson murine leukemia viral oncogene homolog 1; c-ABL; p150应用: WB,IHC,IF反应种属: Human,Mouse
-
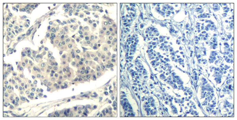
分类: 科研抗体货号: P40331别名: HDMX, hdm2应用: WB,IHC,IF反应种属: Human
-
分类: 科研抗体货号: P40360别名: PDK1; PDH kinase 1应用: WB反应种属: Human,Mouse,Rat
-
分类: 科研抗体货号: P40330别名: Signal transduction protein CBL; Proto-oncogene c-CBL; Casitas B-lineage lymphoma proto-oncogene; RING finger protein 55;应用: WB,IHC,IF反应种属: Human
鄂公网安备42018502007531号

