-
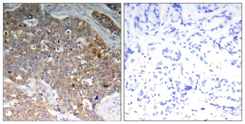
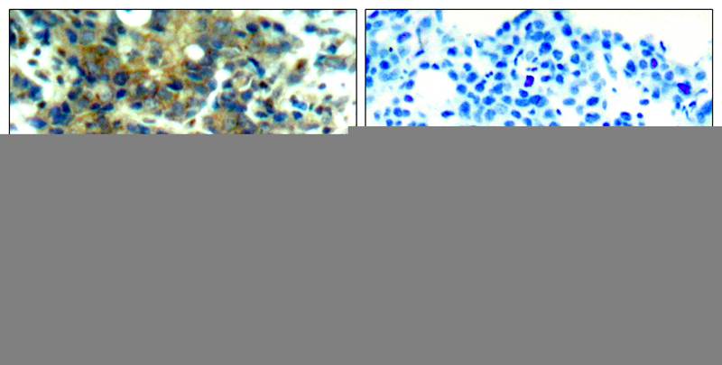
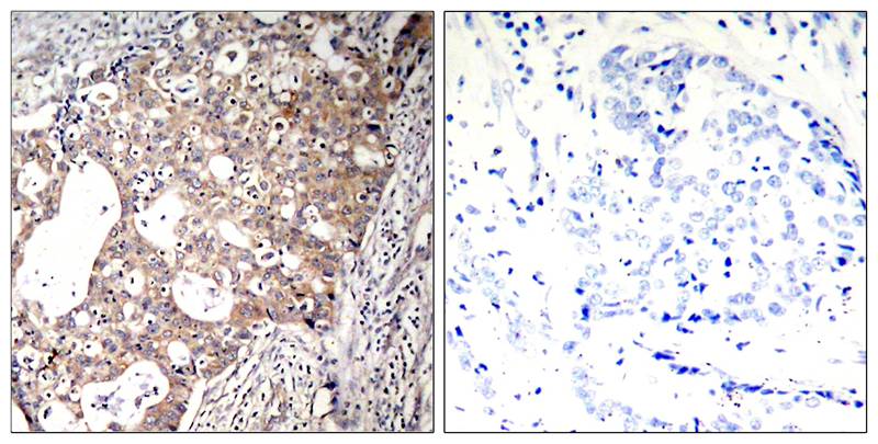
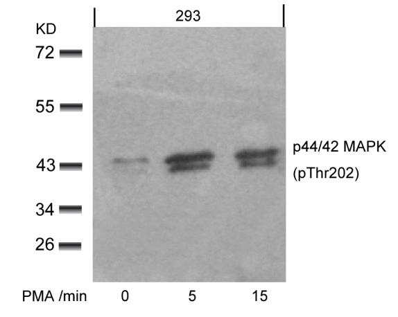
分类: 科研抗体货号: P40228别名: ERK; ERT2; Extracellular signal- regulated kinase 1; Insulin-stimulated MAP2 kinase; MAP kinase 1应用: WB,IHC,IF反应种属: Human,Mouse,Rat
-
分类: 科研抗体货号: P40276别名: IKK2; IKKB; NFKBIKB; IKK-beta应用: IF反应种属: Human,Mouse,Rat
-
分类: 科研抗体货号: P40254别名: DOK1应用: WB,IHC反应种属: Human
-
分类: 科研抗体货号: P40275别名: I-kappa-B-beta; IKB-B; IKBB; NF-kappa-BIB; NF-kappaB inhibitor beta应用: WB,IHC反应种属: Human,Mouse,Rat
-
分类: 科研抗体货号: P40286别名: SH2 domain protein C1; SHC; SHC-transforming protein 1; SHCA; Src homology 2 domain-containing-transforming protein C1应用: WB,IHC,IF反应种属: Human
-
分类: 科研抗体货号: P40249别名: KS6B1; P70-S6K; RPS6KB1; S6K;应用: WB,IHC,IF反应种属: Human,Mouse,Rat
-
分类: 科研抗体货号: P40273别名: Factor A; GSK-3 alpha/beta; kinase GSK3-alpha/beta应用: WB,IHC,IF反应种属: Human,Mouse,Rat
-
分类: 科研抗体货号: P40282别名: DNA-binding factor KBF1; EBP-1; NF-kappa-B1 p84/NF-kappa-B1 p98; NFKB1; NFkB-p50应用: WB,IHC,IF反应种属: Human,Mouse,Rat
-
分类: 科研抗体货号: P40299别名: PRMT4应用: WB,IF反应种属: Human,Mouse,Rat
-
分类: 科研抗体货号: P40271别名: KPCT; PKC-theta; PKCQ; PRKCQ; PRKCT应用: WB,IHC,IF反应种属: Human,Mouse,Rat
鄂公网安备42018502007531号

