-
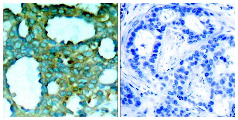
分类: 科研抗体货号: P40131别名: CDC28; CDC2A; CDK1; Cyclin-dependent kinase 1;应用: WB,IHC反应种属: Human,Mouse,Rat
-
分类: 科研抗体货号: P40130别名: kinase Cdk2; p33 protein kinase;应用: WB,IHC反应种属: Human,Mouse,Rat
-
分类: 科研抗体货号: P40150别名: Constitutive NOS; EC-NOS; ECNOS; NOS3; NOSIII应用: WB反应种属: Human,Mouse,Rat
-
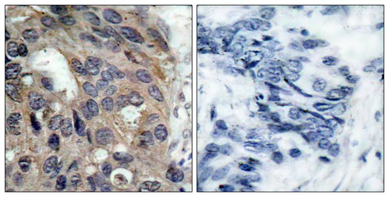
分类: 科研抗体货号: P40126别名: I kappa-B kinase alpha; I-kappa-B kinase 1; IKK-A; IKK-alpha; IKK1应用: WB,IHC,IF反应种属: Human,Mouse,Rat
-
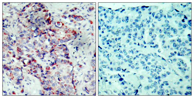
分类: 科研抗体货号: P40169别名: JNKK; JNKK1; MAP2K4; MAPK/ERK kinase 4; MAPKK 4应用: WB,IHC,IF反应种属: Human,Mouse,Rat
-
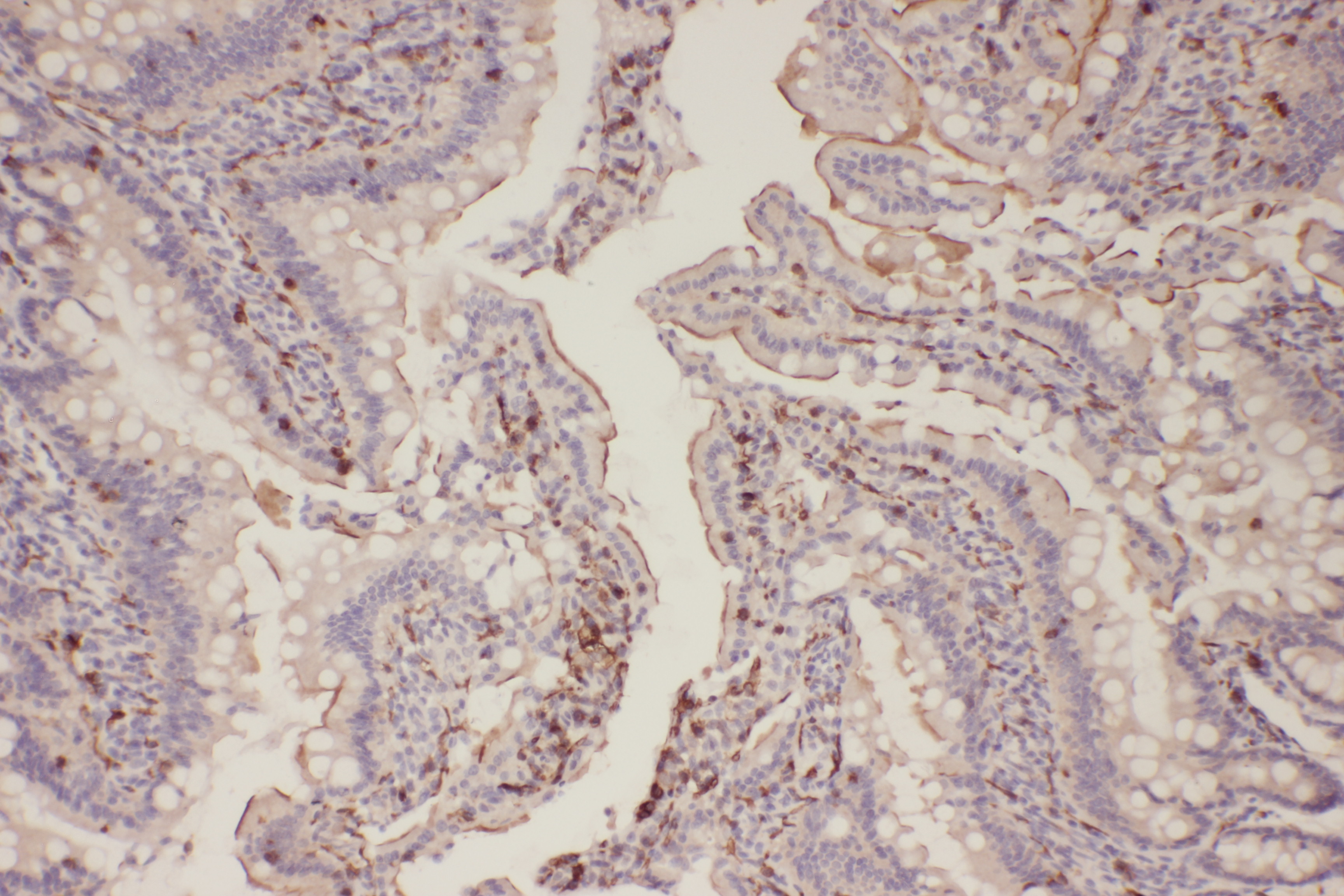
分类: 科研抗体货号: P40149别名: p21-activated kinase 1; PAK-1; p65-PAK; Alpha-PAK;应用: WB,IHC,IF反应种属: Human,Mouse,Rat
-
分类: 科研抗体货号: P40177别名: ERBB1; Receptor protein-tyrosine kinase ErbB-1; kinase EGFR应用: WB,IHC反应种属: Human,Mouse,Rat
-
分类: 科研抗体货号: P40167别名: PLC-IV; PLC-gamma2; Phospholipase C-gamma-2应用: WB,IF反应种属: Human,Mouse,Rat
-
分类: 科研抗体货号: P40148别名: C-SRC; SRC1;应用: WB,IHC,IF反应种属: Human,Mouse,Rat
-
分类: 科研抗体货号: P40176别名: IPPD; PPP1R1B;应用: IF反应种属: Human,Mouse,Rat
鄂公网安备42018502007531号

