-
分类: 科研抗体货号: P40062别名: Cytovillin; EZRI; VIL2; Villin 2; p81应用: WB,IHC反应种属: Human
-
分类: 科研抗体货号: P40027别名: AP-1应用: WB,IHC反应种属: Human,Mouse,Rat
-
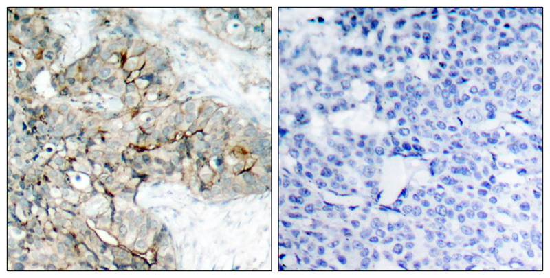
分类: 科研抗体货号: P40060别名: CD61 antigen; GP3A; GPIIIa; ITB3; Platelet membrane glycoprotein IIIa应用: WB,IHC反应种属: Human,Mouse,Rat
-
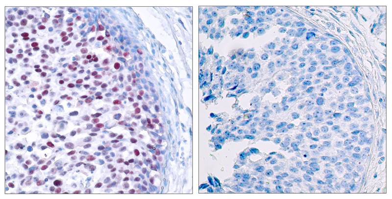
分类: 科研抗体货号: P40026别名: AP-1应用: IHC,IF反应种属: Human,Mouse,Rat
-
分类: 科研抗体货号: P40058别名: TP73; TRP73; p53-related protein; p73-alpha;应用: WB反应种属: Human
-
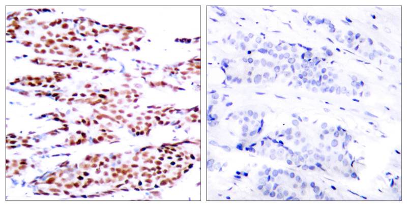
分类: 科研抗体货号: P40024别名: AH119; AP1; Jun A; c-Jun; p39应用: WB,IHC,IF反应种属: Human,Mouse,Rat
-
分类: 科研抗体货号: P40056别名: MMAC1; Mutated in multiple advanced cancers 1; Protein-tyrosine phosphatase PTEN; TEP1;应用: WB,IHC,IF反应种属: Human,Mouse,Rat
-
分类: 科研抗体货号: P40022别名: AH119; AP1; Jun A; c-Jun; p39应用: WB,IHC反应种属: Human,Mouse,Rat
-
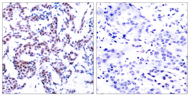
分类: 科研抗体货号: P40052别名: CREB-1; CREB1;应用: WB,IHC反应种属: Human,Mouse,Rat
-
分类: 科研抗体货号: P40020别名: C-Rel应用: IF反应种属: Human
鄂公网安备42018502007531号

