-
分类: 科研抗体货号: P35127别名: POC1 centriolar protein homolog B, Pix1, Proteome of centriole protein 1B, WD repeat-containing protein 51B, POC1B, WDR51B应用: WB反应种属: Human
-
分类: 科研抗体货号: P40039别名: MEF2, ADCAD1, RSRFC4, RSRFC9应用: WB,IHC,IF反应种属: Human,Mouse,Rat
-
分类: 科研抗体货号: P40017别名: p50; KBF1; NF-kB1; NFKB-p50; NFkappaB应用: WB,IHC,IF反应种属: Human,Mouse,Rat
-
分类: 科研抗体货号: P40038别名: ELKV应用: IHC,IF反应种属: Human,Mouse,Rat
-
分类: 科研抗体货号: P40015别名: p52; p105; H2TF1; LYT10; NF-kB2应用: WB,IHC,IF反应种属: Human,Mouse,Rat
-
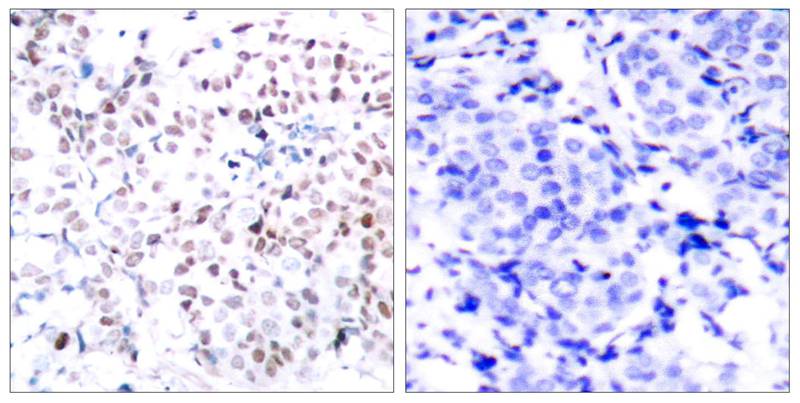
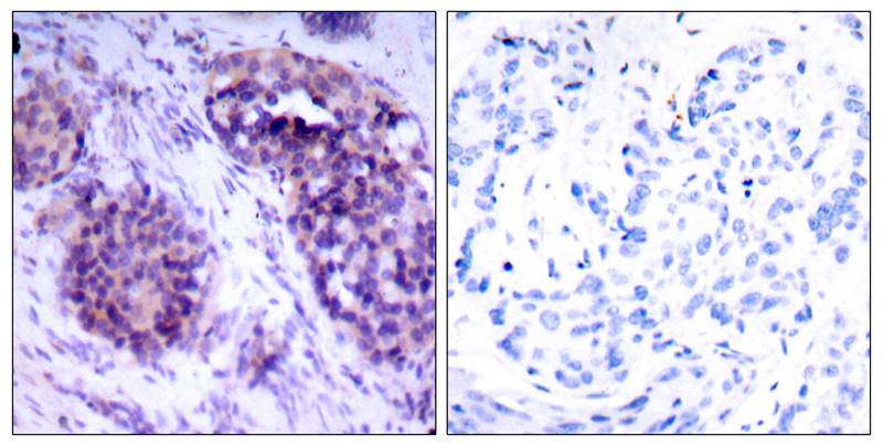
分类: 科研抗体货号: P40036别名: c-myc应用: WB,IHC反应种属: Human,Mouse,Rat
-
分类: 科研抗体货号: P40065别名: BCLX, BCL2L, BCLXL, BCLXS,应用: WB,IHC,IF反应种属: Human,Mouse,Rat
-
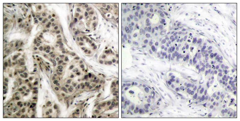
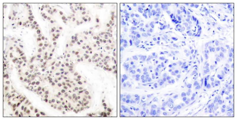
分类: 科研抗体货号: P40035别名: c-myc应用: WB,IHC,IF反应种属: Human
-
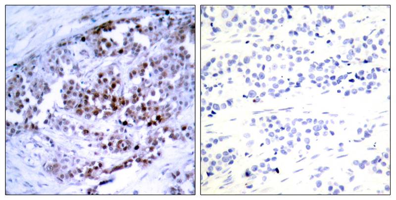
分类: 科研抗体货号: P40064别名: Bcl-2; PPP1R50应用: IHC反应种属: Human
-
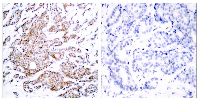
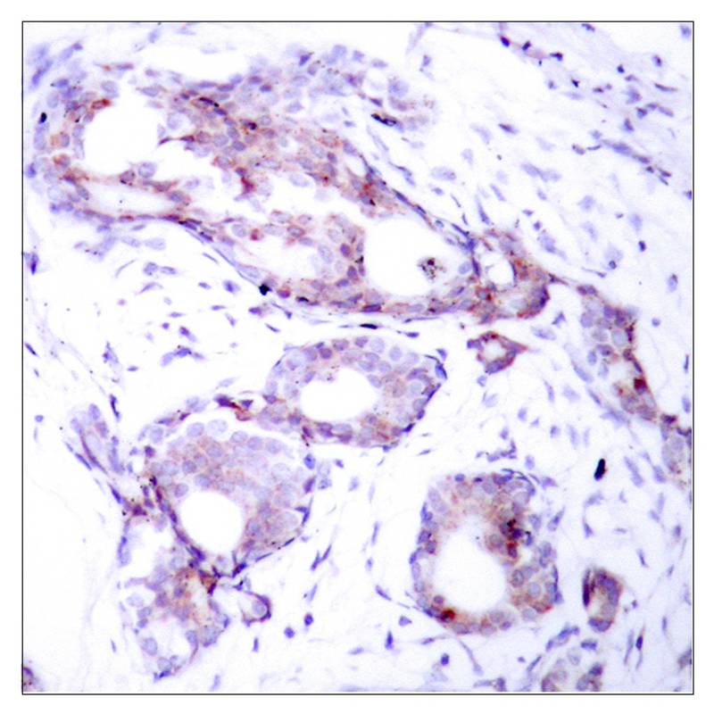
分类: 科研抗体货号: P40034别名: c-myc应用: WB,IHC反应种属: Human,Mouse,Rat
鄂公网安备42018502007531号

