-
分类: 科研抗体货号: P35122别名: Golgi apparatus protein 1, CFR-1, Cysteine-rich fibroblast growth factor receptor, E-selectin ligand 1, ESL-1, Golgi sialoglycoprotein MG-160, GLG1, CFR1, ESL1, MG160应用: WB反应种属: Human, Mouse
-
分类: 科研抗体货号: P35111别名: Cochlin, COCH-5B2, COCH, COCH5B2应用: WB反应种属: Human
-
分类: 科研抗体货号: P35131别名: Serine/threonine-protein phosphatase with EF-hands 2, PPEF-2, PPEF2应用: WB反应种属: Human
-
分类: 科研抗体货号: P35121别名: Olfactomedin-like protein 2A, Photomedin-1, OLFML2A应用: WB反应种属: Human
-
分类: 科研抗体货号: P35110别名: Alpha-(1,6)-fucosyltransferase, Alpha1-6FucT, Fucosyltransferase 8, GDP-L-Fuc:N-acetyl-beta-D-glucosaminide alpha1,6-fucosyltransferase, GDP-fucose--glycoprotein fucosyltransferase, Glycoprotein 6-alpha-L-fucosyltransferase, FUT8应用: WB,IHC反应种属: Human
-
分类: 科研抗体货号: P35130别名: Membrane-associated phosphatidylinositol transfer protein 2, Phosphatidylinositol transfer protein, membrane-associated 2, PITPnm 2, Pyk2 N-terminal domain-interacting receptor 3, NIR-3, PITPNM2, KIAA1457, NIR3应用: WB反应种属: Human
-
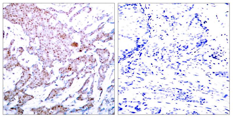
分类: 科研抗体货号: P40014别名: NFKB3; RELA; TF65; Transcription factor p65; p65应用: WB,IHC,IF反应种属: Human,Mouse,Rat
-
分类: 科研抗体货号: P35120别名: Neural cell adhesion molecule 1, N-CAM-1, NCAM-1, CD56, NCAM1, NCAM应用: WB反应种属: Human, Mouse, Rat
-
分类: 科研抗体货号: P35129别名: Lysosomal amino acid transporter 1 homolog, PQ-loop repeat-containing protein 2, PQLC2应用: WB反应种属: Human, Mouse
-
分类: 科研抗体货号: P40013别名: p65, NFKB3,应用: WB,IF反应种属: Human,Mouse,Rat
鄂公网安备42018502007531号

