-
分类: 科研抗体货号: P35101别名: Fructose-bisphosphate aldolase C, Brain-type aldolase, ALDOC, ALDC应用: WB反应种属: Human, Mouse, Rat
-
分类: 科研抗体货号: P35100别名: Programmed cell death 1 ligand 1, PD-L1, PDCD1 ligand 1, Programmed death ligand 1, hPD-L1, B7 homolog 1, B7-H1, CD274应用: WB反应种属: Human
-
分类: 科研抗体货号: P35118别名: Transmembrane protein 106B, TMEM106B应用: WB反应种属: Human, Mouse
-
分类: 科研抗体货号: P35099别名: Anoctamin-6, Small-conductance calcium-activated nonselective cation channel, SCAN channel, Transmembrane protein 16F, ANO6, TMEM16F应用: WB反应种属: Human, Mouse, Rat
-
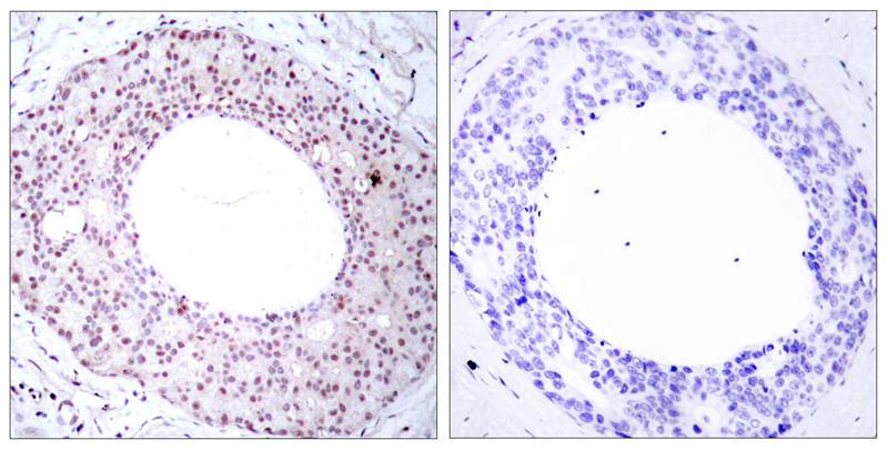
分类: 科研抗体货号: P40010别名: NFKB3; RELA; TF65; Transcription factor p65; p65应用: WB,IHC,IF反应种属: Human,Mouse,Rat
-
分类: 科研抗体货号: P35117别名: DNA (cytosine-5)-methyltransferase 3B, Dnmt3b, DNA methyltransferase MmuIIIB, DNA MTase MmuIIIB, MMmuIIIB, Dnmt3b应用: WB反应种属: Mouse
-
分类: 科研抗体货号: P35098别名: C-X-C chemokine receptor type 4, CXC-R4, CXCR-4, FB22, Fusin, HM89, LCR1, Leukocyte-derived seven transmembrane domain receptor, LESTR, Lipopolysaccharide-associated protein 3, LAP-3, LPS-associated protein 3, NPYRL, Stromal cell-derived factor 1 receptor应用: WB反应种属: Human, Mouse, Rat
-
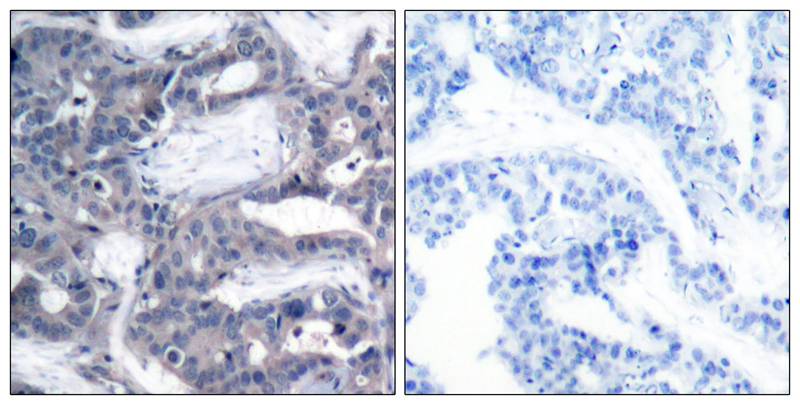
分类: 科研抗体货号: P40008别名: ERK activator kinase 2; MAP kinase kinase 2; MAP2K2; MAPK/ERK kinase 2; MAPKK 2应用: WB,IHC,IF反应种属: Human
-
分类: 科研抗体货号: P35116别名: Variable charge X-linked protein 3, Variable charge protein on X with eight repeats, VCX-8r, Variably charged protein X-A, VCX-A, VCX3A, VCX3, VCX8R, VCXA应用: WB反应种属: Human
-
分类: 科研抗体货号: P35096别名: Mixed lineage kinase domain-like protein, Mlkl {ECO:0000312|EMBL:AAH237551, ECO:0000312|MGI:MGI:1921818}应用: WB反应种属: Mouse
鄂公网安备42018502007531号

