-
分类: 科研抗体货号: P35067别名: Phosphate-regulating neutral endopeptidase, 3424-, Metalloendopeptidase homolog PEX, Vitamin D-resistant hypophosphatemic rickets protein, X-linked hypophosphatemia protein, HYP, PHEX, PEX应用: WB反应种属: Human, Mouse, Rat
-
分类: 科研抗体货号: P35066别名: Transcription factor SOX-8, SOX8应用: WB反应种属: Human
-
分类: 科研抗体货号: P35081别名: Secreted frizzled-related protein 2, FRP-2, sFRP-2, Secreted apoptosis-related protein 1, SARP-1, SFRP2, FRP2, SARP1应用: WB反应种属: Human, Mouse, Rat
-
分类: 科研抗体货号: P35065别名: Gap junction alpha-8 protein, Connexin-50, Cx50, Lens fiber protein MP70, GJA8应用: WB反应种属: Human
-
分类: 科研抗体货号: P35080别名: E3 ubiquitin-protein ligase parkin, 632-, Parkinson juvenile disease protein 2, Parkinson disease protein 2, PARK2, PRKN应用: WB,IHC,IF,FCM反应种属: Human, Mouse, Rat
-
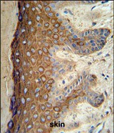
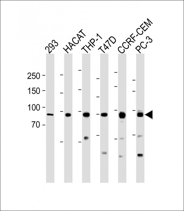
分类: 科研抗体货号: P35092别名: Keratin, type II cytoskeletal 1, 67 kDa cytokeratin, Cytokeratin-1, CK-1, Hair alpha protein, Keratin-1, K1, Type-II keratin Kb1, KRT1, KRTA应用: WB,IHC,FCM反应种属: Human
-
分类: 科研抗体货号: P35079别名: Ubiquitin carboxyl-terminal hydrolase 29, Deubiquitinating enzyme 29, Ubiquitin thioesterase 29, Ubiquitin-specific-processing protease 29, USP29应用: WB反应种属: Human
-
分类: 科研抗体货号: P35091别名: Uncharacterized protein C4orf32, C4orf32应用: WB反应种属: Human
-
分类: 科研抗体货号: P35078别名: Choriogonadotropin subunit beta, CG-beta, Chorionic gonadotrophin chain beta, CGB, CGB3应用: WB反应种属: Human
-
分类: 科研抗体货号: P35088别名: Vesicle-associated membrane protein-associated protein B/C, VAMP-B/VAMP-C, VAMP-associated protein B/C, VAP-B/VAP-C, VAPB应用: WB反应种属: Human, Mouse, Rat
鄂公网安备42018502007531号

