-
分类: 科研抗体货号: P34904别名: Putative histone-lysine N-methyltransferase PRDM6, PR domain zinc finger protein 6, PR domain-containing protein 6, PRDM6, PFM3应用: WB反应种属: Human, Mouse, Rat
-
分类: 科研抗体货号: P34886别名: Glutathione peroxidase 3, GPx-3, GSHPx-3, Extracellular glutathione peroxidase, Plasma glutathione peroxidase, GPx-P, GSHPx-P, GPX3, GPXP应用: WB反应种属: Human, Mouse, Rat
-
分类: 科研抗体货号: P34919别名: HHIP-like protein 2, HHIPL2, HHIP3, KIAA1822L应用: WB反应种属: Human, Mouse, Rat
-
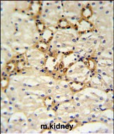
分类: 科研抗体货号: P34903别名: Growth hormone secretagogue receptor type 1, GHS-R, GH-releasing peptide receptor, GHRP, Ghrelin receptor, GHSR应用: WB,IHC反应种属: Human, Mouse, Rat
-
分类: 科研抗体货号: P34885别名: Membrane-spanning 4-domains subfamily A member 4A, CD20 antigen-like 1, Four-span transmembrane protein 1, MS4A4A, 4SPAN1, CD20L1, MS4A4应用: WB,FCM反应种属: Human
-
分类: 科研抗体货号: P34918别名: Uncharacterized protein C11orf63, C11orf63应用: WB,FCM反应种属: Human, Mouse, Rat
-
分类: 科研抗体货号: P34902别名: Hyaluronan mediated motility receptor, Intracellular hyaluronic acid-binding protein, Receptor for hyaluronan-mediated motility, CD168, HMMR, IHABP, RHAMM应用: WB反应种属: Human, Mouse, Rat
-
分类: 科研抗体货号: P34883别名: Exostosin-2, Glucuronosyl-N-acetylglucosaminyl-proteoglycan/N-acetylglucosaminyl-proteoglycan 4-alpha-N-acetylglucosaminyltransferase, Multiple exostoses protein 2, Putative tumor suppressor protein EXT2, EXT2应用: WB反应种属: Human
-
分类: 科研抗体货号: P34917别名: Putative methyltransferase NSUN7, 211-, NOL1/NOP2/Sun domain family member 7, NSUN7应用: WB,IHC反应种属: Human
-
分类: 科研抗体货号: P34901别名: Barttin, BSND, BART应用: WB,IHC反应种属: Human, Mouse, Rat
鄂公网安备42018502007531号

